概述
拔完智齿口腔出现白色软肉,表现为创伤周围出现白色假膜或创面出现脓肿。
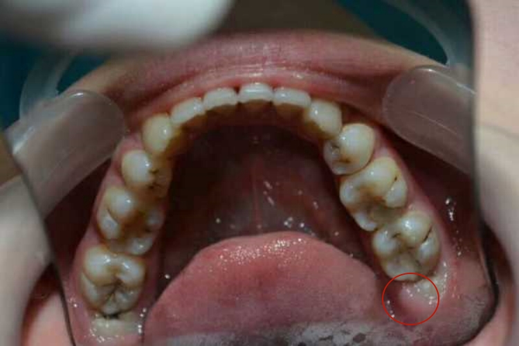
拔完智齿有个白色软肉,考虑是创面愈合的正常过程,也可能为急性感染所致。
症状
拔完智齿有个白色软肉,考虑是创面愈合时新生肉芽组织表面的灰白色假膜,或者急性感染导致。
白色假膜:拔牙后创面愈合过程中,在新生肉芽表面会出现一层白色的假膜,这是为了保护伤口而形成的保护层,类似白色软肉。
感染:表现为拔牙后局部创面存在脓样物质,看似如同白色软肉,考虑出现急性感染,可伴有局部或面部肿胀、疼痛、开口受限等症状。

病因
拔完智齿有个白色软肉,考虑是拔牙后创面愈合时新生肉芽组织表面出现的白色假膜,或因护理不当造成拔智齿后出现急性感染所致,从而使创面出现脓样物质,如同白色软肉。
治疗
创面愈合引起的白色软肉无需处理,注意口腔清洁即可。但是若有局部感染灶者,在拔牙后严禁粗暴搔刮,以免引起感染扩散,需及时给予抗生素治疗,如甲硝唑等。
参考文献
[1]张志愿.口腔科学.第9版[M].北京.人民卫生出版社.2018.106,109.
[2]张震康,俞光岩,徐韬.实用口腔科学.第4版[M].北京.人民卫生出版社.2016.844-845.
展开
