概述
牙龈扁平苔藓即口腔扁平苔藓,典型症状为小丘疹连成的白色或灰白色的细条纹。
牙龈扁平苔藓的病因尚不明确,可能与免疫因素、精神因素等有关,但无特效治疗方法。
症状
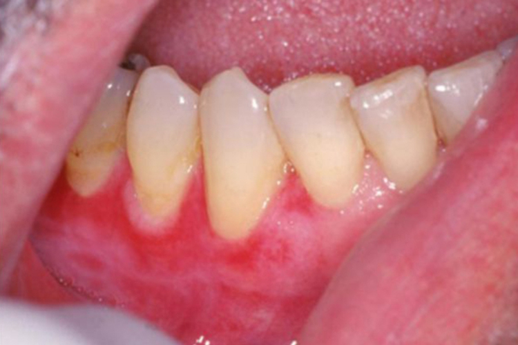
牙龈扁平苔藓(即口腔扁平苔藓)典型的病损特征为白色或灰白色细条纹,黏膜可发生红斑、充血、糜烂、溃疡等表现。患者牙龈的附着龈有充血,接近前庭沟处可见白色花纹,牙龈表面发生糜烂,呈剥脱性龈炎表现。

病因
牙龈扁平苔藓(即口腔扁平苔藓)的病因和发病机制目前尚不明确,可能与多种致病因素有关,如免疫因素、精神因素、内分泌因素、感染因素、微循环障碍、遗传因素、系统疾病以及口腔局部刺激因素等。
治疗
牙龈扁平苔藓(即口腔扁平苔藓)当前尚无特效疗法,患者的精神因素不消除,单纯通过药物治疗无效,所以精神心理治疗是前提。
此外,可遵医嘱口服肾上腺皮质激素(如醋酸泼尼松片)治疗,也可用药进行免疫调理治疗(如雷公藤多苷片)。患者需去除各种局部刺激,如拆除不良修复体、行牙齿洁治术;日常生活中注意保持口腔卫生清洁。
参考文献
[1]张志愿.口腔科学.第9版[M].北京.人民卫生出版社.2018.77-79.
[2]张文忠等主编.口腔科疾病专科处置精要[M].北京:科学技术文献出版社,2018.08.122-123.
展开
