概述
奶瓶龋齿可出现局部及全身症状,如牙齿、颌面等部位异常,但具体症状存在个体差异。
奶瓶龋齿与多种因素有关,如乳牙解剖形态、喂养习惯等,需及时到医院就诊并进行治疗。
症状
奶瓶龋齿发生于乳牙,可引发局部症状、全身不适症状,可根据症状做初步判断。
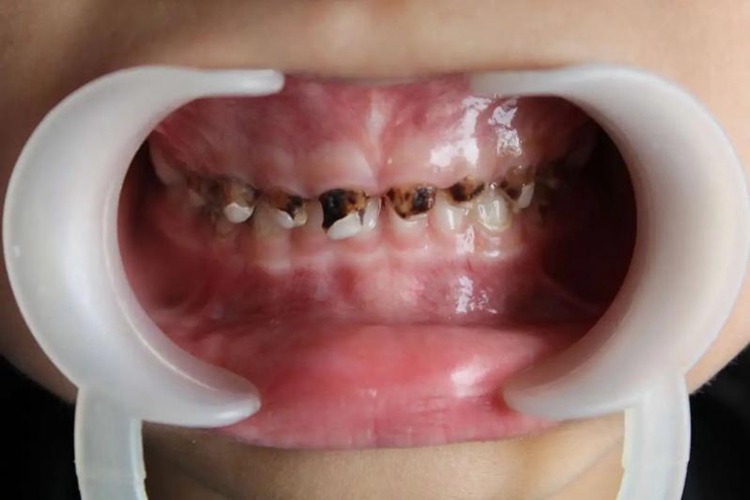
局部症状:表现为环状龋,即乳前牙唇面、邻面龋较快发展成围绕牙冠的广泛性环形龋,呈卷状,常见于冠中1/3至颈1/3处。龋齿还可影响颌骨正常发育,引发颌面部轻重不等的畸形。

全身症状:奶瓶龋齿可出现疼痛、乳牙龋坏早失等,会造成咀嚼功能降低、胃肠消化吸收减弱,导致机体营养不良,生长发育受到影响。婴幼儿期是儿童学习语言的时期,完整的乳牙有助于孩子掌握正确的发音,乳牙龋坏和早失会使孩子发音不清,乳前牙区严重龋蚀,使有些孩子羞于开口,对身心健康不利。

病因
奶瓶龋齿的发生与乳牙解剖形态特点、乳牙组织结构特点、喂养习惯、食物等因素有关。
乳牙解剖形态特点:乳牙表面的窝沟点隙较深、牙齿之间为面接触,容易出现菌斑集聚、食物残留。
乳牙组织结构特点:乳牙的釉质、牙本质厚度薄,矿化程度低,抗酸能力弱。
喂养习惯:婴幼儿阶段经奶瓶喂养,容易出现哺乳时间过长、哺乳或进食间隔时间短、夜奶次数多且夜奶停止年龄偏大等,均可能引发奶瓶龋齿。
食物:奶瓶喂养的婴幼儿,若添加的辅食质软、黏稠、含糖量高,容易发酵产酸而对牙齿产生损害,引发龋齿。
治疗
奶瓶龋齿治疗时可根据具体情况制定相应治疗方案,包括药物治疗、修复治疗等。
药物治疗:奶瓶龋齿者可遵医嘱局部使用氟化物,以抑制龋坏发展,促进釉质的再矿化,增强釉质抗托矿的能力,降低菌斑中的酸性产物。
修复治疗:由于玻璃离子水门汀具有稳定的释氟性和氟库作用,可有效预防继发龋和相邻牙面新龋,在乳牙固位良好的牙面是首选的充填材料。
参考文献
[1]米方林主编.口腔医学第2版[M].江苏凤凰科学技术出版社,2018.77-79.
[2]北京医师协会组织编写.口腔科诊疗常规[M].北京:中国医药科技出版社,2020.126-128.
[3]王旭霞,杨征主编.全国普通高等医学院校五年制临床医学专业“十三五”规划教材口腔科学[M].北京:中国医药科技出版社,2016.152.
