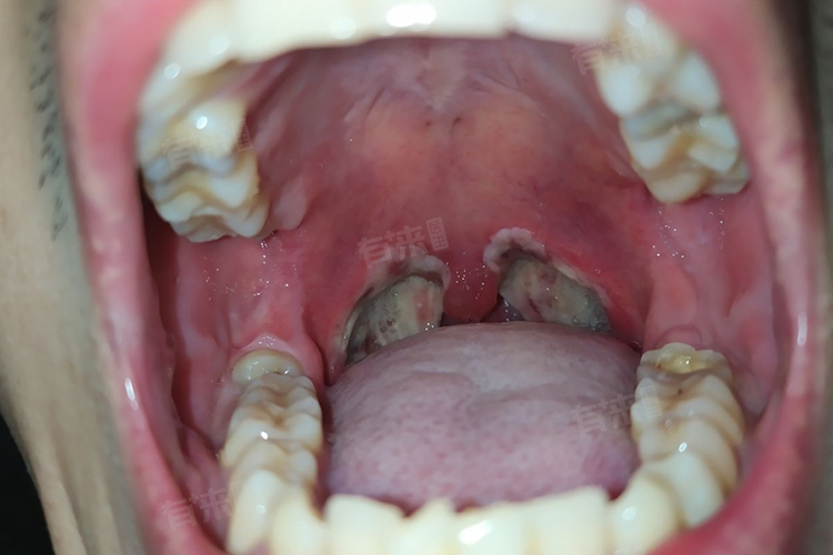
扁桃体术后白膜脱净时间因人而异,通常在术后1-2周。白膜是扁桃体术后创口表形成的一层保护性物质,其脱落过程与创口愈合进程紧密相关,脱落时间受多种因素影响。

- 扁桃体手术会造成扁桃体组织缺损,术后创口处的血液、渗出的纤维蛋白以及坏死组织等混合,在创口表面形成一层白色或灰白色的膜状物,即白膜。它在术后初期起到保护创口的作用,可隔绝外界细菌、食物残渣等对创口的刺激,减少感染风险,同时为创口愈合提供一个相对稳定的环境,其存在对术后早期的创口恢复至关重要。
- 随着创口逐渐愈合,白膜会经历从形成到脱落的过程。术后3-5天,白膜生长达到稳定状态,质地较致密。之后,创口处新生的肉芽组织逐渐替代白膜,白膜开始从边缘逐渐松动、脱落。脱落过程中,新生的上皮组织会逐渐覆盖创口,完成创口的修复。这一过程是创口愈合的自然表现,也是身体组织修复能力的体现,标志着创口在逐步恢复健康。
白膜脱落时间受多种因素影响,手术方式是重要因素之一,传统扁桃体剥离术对组织损伤相对较大,白膜脱落时间可能偏长,10-14天;而低温等离子扁桃体切除术创伤较小,白膜脱落时间可能在7-10天。患者自身恢复能力也起关键作用,年轻、体质好、无基础疾病的患者,新陈代谢快,组织修复能力强,白膜脱落时间相对较短;年老体弱、患有糖尿病等影响愈合的疾病的患者,白膜脱落时间可能延长。
扁桃体术后的日常生活管理
1、科学安排术后饮食:术后初期选择温凉流质食物,如豆浆、米汤等,逐步过渡到软烂面条、蒸蛋等半流质。避免过热、辛辣或带碎骨的食物,防止刺激创面。食物温度以接近体温为宜,过热易引发出血,过冷可能诱发咳嗽。
2、建立正确呼吸习惯:术后可能出现暂时性鼻呼吸不畅,建议保持室内空气湿润,必要时使用医用生理盐水喷雾清洁鼻腔。避免张口呼吸导致咽喉干燥,白天可有意识练习鼻呼吸,夜间侧卧可改善通气。
3、密切观察恢复情况:注意口腔分泌物颜色变化,正常为淡红色逐渐转清白。创面白膜脱落期可能出现轻微异物感,属正常现象。若出现鲜红色出血、持续剧烈疼痛或发热不退等情况需立即就医。

