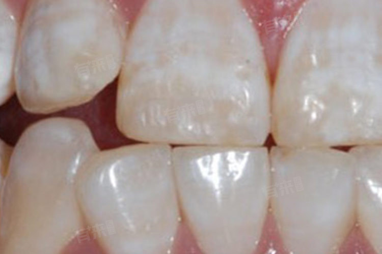
门牙上有白斑能否恢复因情况而异,轻度脱矿及刷牙不当导致的白斑有望通过调整恢复,而严重脱矿和氟斑牙等情况形成的白斑则较难恢复或为永久性。

- 日常饮食中摄入过多酸性食物或饮料,导致牙齿表面的矿物质流失,发生脱矿,从而出现白斑,但如果脱矿程度较轻,尚处于早期阶段,可以通过饮食调整等自我调控方法恢复。
- 刷牙方式不当如用力过猛或使用硬毛牙刷,长期过度摩擦牙齿表面,可能会导致牙齿表面出现短暂性的白斑,这种白斑通常是因为牙齿表面的一层保护性物质被磨损,但牙釉质本身结构尚未受到严重破坏,也可以通过调整刷牙方式,需要一定时间恢复。
- 长期忽视口腔卫生,牙菌斑大量堆积,细菌持续产生酸性物质侵蚀牙齿,导致牙齿脱矿情况逐渐加重,当脱矿程度严重时,牙齿表面的矿物质大量流失,牙釉质结构遭到破坏,白斑难以通过简单的再矿化方法恢复。
- 在牙齿发育期间,如果长期生活在高氟地区,饮用水中氟含量过高,过量的氟会影响牙齿的发育,导致牙釉质矿化异常,形成氟斑牙。氟斑牙表现为牙齿表面出现白色或黄褐色的斑块,这种白斑是由于牙齿发育过程中受到氟的影响,牙釉质的结构和成分发生了改变,一旦形成通常是永久性的。
门牙上有白斑的就医指征包括白斑持续不消退且有加重趋势;伴有牙齿敏感、疼痛等不适症状;对牙齿外观有较高要求且自行恢复方法无效;不确定白斑原因或脱矿程度;以及有氟斑牙等特殊情况需进一步评估治疗方案等都应及时就医。
门牙上有白斑的恢复方法
1、使用含氟牙膏:氟能促进牙齿再矿化,每天早晚正确刷牙,每次不少于3分钟,采用巴氏刷牙法等科学方法,还可用牙线清洁牙缝,减少牙菌斑堆积,防止细菌产酸进一步损害牙齿。
2、定期洗牙:一般每半年到一年进行一次,去除牙结石和牙菌斑,为牙齿创造良好的口腔环境,有助于白斑的恢复。
3、饮食调整:减少酸性食物和饮料的摄入,如柠檬汁、碳酸饮料等,降低牙齿脱矿风险,增加富含钙、磷等矿物质的食物摄取,像奶制品、鱼虾等,利于牙齿矿物质的补充和再矿化。
4、专业治疗:对于较严重的脱矿情况,可在医生指导下进行局部涂氟或渗透树脂治疗,涂氟能增强牙齿抗酸性,促进再矿化;渗透树脂可填充白斑部位的微小孔隙,改善牙齿外观。

