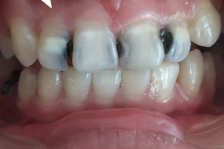
门牙中间缝隙黑了,可能是由于多种原因造成的,包括色素沉着、龋坏、食物嵌塞和牙石堆积以及牙龈退缩等。针对这种情况,可以采取洗牙、树脂充填等措施。

1、色素沉着:如果是由于长期吸烟、喝茶等导致的色素沉着,可以通过超声波洗牙来去除牙齿上的牙菌斑、牙结石以及色素,从而改善牙齿缝隙黑的问题。平时应注意保持口腔卫生,定期刷牙,使用牙线等清洁工具,减少色素在牙齿上的沉积。
2、食物嵌塞和牙石堆积:使用牙线可以有效清洁牙齿缝隙中的食物残渣和牙石,减少细菌滋生。定期到口腔科进行洗牙,可以清除牙齿表面和缝隙中的牙垢和菌斑,预防牙齿腐蚀和变色。
3、龋坏:如果门牙中间缝隙黑是由于龋坏引起的,需要进行树脂充填。这需要将龋坏的牙体组织清理干净,然后用复合树脂进行充填,以恢复门牙的美观和功能。如果龋坏已经涉及神经,可能需要进行根管治疗。这包括清除牙髓内的炎症和坏死物质,进行根管预备、冲洗消毒和根管充填,最后再进行冠修复。如果牙齿龋坏较深,且复合树脂充填效果不佳,可以考虑通过牙冠修复的方法来恢复牙齿的美观和切割功能。
4、牙龈退缩:如果牙缝隙黑是由于牙龈退缩引起的,需要进行牙周治疗,以控制牙周炎症,促进牙龈健康。在牙龈健康恢复后,如果牙缝过大影响美观,可以考虑通过正畸治疗来收敛牙缝。
在治疗过程中,应保持良好的口腔卫生习惯,定期刷牙、使用牙线等清洁工具。避免食用过多含糖食物和饮料,以减少细菌在牙齿上的滋生。定期进行口腔检查,及时发现并处理口腔问题。

