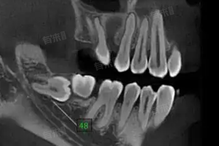
智齿横着长在医学上称为智齿阻生,是一种较为常见的口腔问题。智齿横着长的原因包括遗传因素、空间不足、牙胚位置异常等。

1、遗传因素:智齿的生长情况与遗传有一定关系。研究表明,如果家族中存在智齿阻生的遗传倾向,个体出现智齿横着长的概率也会相对较高。遗传因素可能影响颌骨的形态、大小以及牙齿的生长方向和顺序等,使得智齿在萌出过程中受到遗传因素的影响而不能正常生长。
2、空间不足:现代人的颌骨由于进化和生活方式的改变,普遍存在空间不足的问题。除了颌骨本身发育较小外,现代口腔正畸治疗等因素也可能导致牙弓长度减小,进一步压缩了智齿萌出的空间。当智齿萌出时,周围的牙齿已经占据了大部分牙槽骨空间,智齿为了寻找生长空间,就可能会横着生长,甚至可能挤压周围的牙齿,导致牙齿拥挤、移位等问题。
3、牙胚位置异常:在牙齿发育过程中,牙胚的位置和方向对于牙齿的萌出至关重要。如果牙胚在形成和发育过程中受到某些因素的影响,如局部的炎症、外伤或发育障碍等,导致其位置偏离正常萌出路径,就可能使智齿在萌出时出现横着长的情况。
此外,智齿萌出需要一定的动力,包括牙槽骨的生长、牙周组织的压力等。如果这些萌出动力出现异常,也可能影响智齿的生长方向。例如牙槽骨生长不均衡、牙周组织存在炎症或纤维化等,都可能改变智齿萌出的力量和方向,使其不能沿着正常的垂直方向生长,而是横着或呈其他异常角度萌出。
智齿横着长的处理建议
- 如果智齿横着长,但未影响邻牙,且无龋齿、炎症等不适症状,可以暂时不进行治疗,但需定期观察,建议每半年到一年进行一次口腔检查,通过X线片监测智齿的生长情况。
- 如果智齿横着长引起了智齿冠周炎,出现红肿、疼痛等症状,可以先进行消炎治疗。在医生的指导下,服用抗生素药物和止痛药物,以控制感染和缓解疼痛。
- 消炎后,如果智齿仍然横着长且对口腔健康构成威胁,建议拔除。拔牙前,医生会进行全面的检查,评估智齿的位置与神经管的关系,制定详细的拔牙方案。拔牙后,需按照医生的建议进行护理,如咬棉球止血、避免刷牙漱口、保持口腔清洁等。

