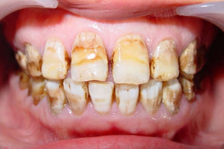
牙黄可能是由于外源性色素沉着、牙菌斑、牙齿发育异常、药物性牙黄以及氟斑牙等因素导致,建议及时就医明确病因并采取针对性的措施,预防和改善牙黄问题。

1、外源性色素沉着
- 长期吸烟、咀嚼槟榔、饮用深色饮料等不良习惯会导致色素沉积在牙齿表面,但通过改变生活习惯、减少色素摄入,以及定期进行口腔清洁即可有效改善。
2、牙菌斑
- 口腔卫生不佳时,细菌会在牙齿表面形成牙菌斑,进而矿化成为牙结石。牙菌斑和牙结石不仅影响牙齿美观,还可能引发牙周疾病。
- 牙结石的黄色外观也是牙黄的一个重要因素。通过加强日常刷牙、使用牙线、定期洗牙等措施,可以有效预防和控制牙菌斑与牙结石的形成。
3、牙齿发育异常
- 牙釉质发育不全或矿化不良等也可能导致牙齿颜色变黄,多见于儿童时期,可能与遗传、营养不良或环境因素有关。
- 对于轻度的发育异常,可在专业医生的操作下通过冷光美白等方法改善,而严重的情况则可能需要采用瓷贴面或全瓷冠等修复手段。
4、药物性牙黄
- 长期服用部分药物,如四环素类抗生素,可能导致牙齿着色,形成四环素牙。
- 四环素牙的颜色变化从黄色到棕褐色不等且难以通过常规方法去除,建议孕妇、哺乳期妇女及儿童使用四环素类药物时需格外谨慎。
5、氟斑牙
- 其是由于长期摄入过量氟化物导致的牙齿釉质发育障碍,表现为牙齿表面出现白垩色或黄褐色的斑块,需就医通过专业的口腔治疗来改善。
生活中为了预防牙黄,应养成良好的口腔卫生习惯,定期刷牙、使用牙线、洗牙,减少吸烟、饮酒及深色饮料的摄入。在服用药物时遵循医嘱,避免过量或长期使用可能导致牙齿着色的药物。

