牙齿变白的小妙招包括定期刷牙、使用牙线、漱口水等,具体效果可能因人而异,且并非所有方法都适用于所有人群。

1、定期刷牙:每天刷牙两次,每次至少两分钟,可以有效去除牙齿表面的污渍和食物残渣,保持牙齿清洁。建议使用软毛牙刷和含氟牙膏,以减少对牙齿的磨损并保护牙釉质。
2、使用牙线:牙线可以清除牙齿间隙中的食物残渣和牙菌斑,这些地方是牙刷难以触及的。定期使用牙线有助于保持口腔的整体清洁,进而使牙齿看起来更白。
3、漱口水:使用含氟漱口水可以帮助防止龋齿和牙菌斑的形成,同时还能去除牙齿表面的部分污渍。但请注意,漱口水并不能替代刷牙和牙线的使用。
4、饮食调整:减少摄入易染色的食物和饮料,如咖啡、红茶、红酒、烟草等。这些食物和饮料中的色素容易沉积在牙齿表面,导致牙齿变色。
5、专业美白产品:在牙医指导下使用专业美白产品,如美白牙膏、美白漱口水或美白牙贴等,通常含有能够去除牙齿表面污渍和深层色斑的成分,但具体效果可能因个体差异而异。
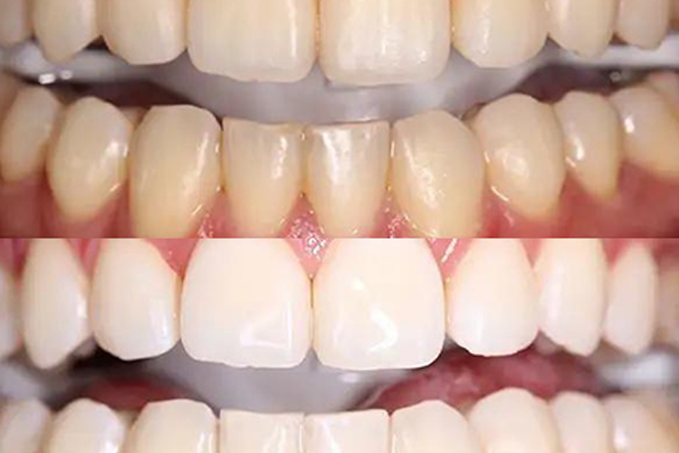
6、洗牙:可以去除牙菌斑、牙结石等顽固污渍,使牙齿恢复自然色泽。
在选择牙齿美白方法时,最好先咨询专业牙医的意见,并根据自身情况制定合适的美白计划,从而避免对牙齿造成不必要的伤害。

