牙齿黑斑处理需根据病情轻重采取不同方法,包括日常清洁、专业洁牙、化学漂白、填充修复,以及根管治疗或拔牙等,建议在专业医生的操作下进行治疗,确保口腔健康。

1、日常清洁:对于初期形成的轻微黑斑,建议强化日常清洁,每天至少刷牙两次,每次不少于两分钟,使用含氟牙膏,并配合牙线清理牙缝中的食物残渣和牙菌斑。定期使用漱口水也能有效抑制口腔细菌生长,减少黑斑形成的风险。适用于因食物残渣和轻度牙菌斑导致的黑斑。
2、专业洁牙:若日常清洁无法彻底去除黑斑,建议前往专业牙科机构进行超声波洁牙,其利用高频振动去除牙齿表面的牙结石和顽固牙菌斑,能改善牙齿的色素沉着。专业洁牙适用于因长期吸烟、饮茶、咖啡等习惯导致的外源性色素沉着,以及轻度牙菌斑积累。
3、化学漂白:对于较为顽固的黑斑,化学漂白是一种可行的选择。在牙医指导下,使用过氧化氢等漂白剂对牙齿进行美白处理,可以有效去除牙齿表面的色素沉积。但漂白剂可能对牙齿造成一定刺激,需在专业指导下使用,并控制使用频率。适用于中度至重度色素沉着,且牙齿本身健康状况良好的情况。
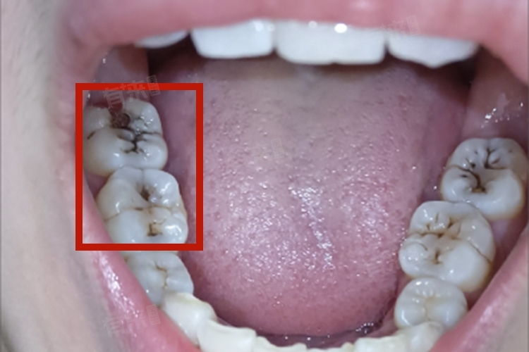
4、填充修复:若黑斑是由于龋齿引起,则需就医进行专业的龋齿治疗,包括去除龋坏组织,制备合适的洞形,并选用适宜的充填材料进行修复,龋齿治疗不仅能去除黑斑,还能恢复牙齿的形态和功能,防止病情进一步恶化,适用于因龋齿导致的黑斑,且已对牙齿造成实质性损害的情况。
5、根管治疗:若黑斑是由于牙髓坏死导致,可能需要在专业医生的操作下进行根管治疗或拔牙处理。牙髓坏死会导致牙齿变色、变黑,且无法通过简单的清洁或漂白恢复,需根据病情严重程度选择适当的治疗方案,以保存牙齿或防止病情扩散。适用于牙齿内部组织已严重受损,且无法通过其他方式恢复的情况。
保持口腔健康,预防牙齿黑斑的形成,需在日常生活中注意饮食健康,减少含色素食物和饮料的摄入,保持良好的口腔卫生习惯,定期刷牙、使用牙线和漱口水,定期进行口腔检查。
牙齿上的黑色斑点的预后好吗
- 保持口腔卫生,定期刷牙、使用牙线和漱口水,保持口腔清洁,减少牙菌斑和牙结石的形成。避免不良习惯,戒烟、减少色素饮料的摄入,避免对牙齿造成不良影响。定期进行口腔检查,及时发现并处理牙齿问题,防止病情恶化。合理饮食,调整饮食结构,适当吃些富含纤维的蔬菜、水果等,有助于保持口腔健康。
- 一旦发现牙齿上的黑色斑点问题,应及时就医并在医生的指导下进行针对性治疗。根据病因和病情严重程度,选择合适的治疗方法。如色素沉着可通过洗牙去除,牙菌斑和牙结石可通过洁牙治疗,龋齿则需要进行填充或根管治疗等。长期的精神紧张和焦虑也可能影响口腔健康,保持积极的心态和良好的心理健康状态也是预防牙齿黑色斑点的重要因素。

