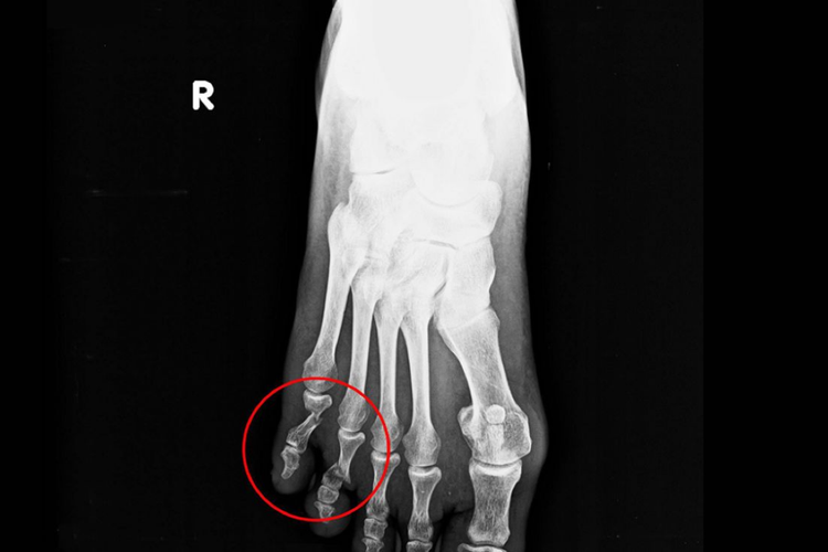
小脚趾骨折二十天后的恢复情况,因个体差异、骨折的严重程度、治疗方式以及患者的身体状况等因素而有所不同。

- 如果是稳定性骨折,经过妥善地固定和休息,二十天后骨折断端通常会有纤维连接形成,局部的炎症和肿胀逐渐减轻。此时,骨折部位的疼痛较受伤初期会有明显缓解,在不负重的情况下活动脚趾,可能只有轻微的疼痛或不适感。在X线检查中,可能会看到骨折线开始变得模糊,有少量骨痂开始形成,但骨折线仍可被观察到。
- 但如果骨折为粉碎性骨折、骨折断端有明显移位,或者患者没有严格遵循医嘱进行休息和固定,二十天后的恢复可能就不太理想。可能仍有较明显的肿胀和疼痛,骨折断端的纤维连接不牢固,骨痂形成较少甚至没有,骨折线依然清晰可见。
小脚趾骨折的患者应遵循医生的建议进行定期复查,确保骨折愈合进程正常。同时,多吃一些富含钙质和维生素D的食物,如牛奶、豆制品、绿叶蔬菜等,以促进骨折的愈合。

