牙齿脱矿在部分情况下是可以恢复的,尤其是早期的牙齿脱矿,通过改变饮食习惯、提升口腔保健水平、局部用氟等措施,有可能使牙齿恢复正常。一旦牙齿脱矿严重,出现龋齿等症状,则很难恢复到正常状态。

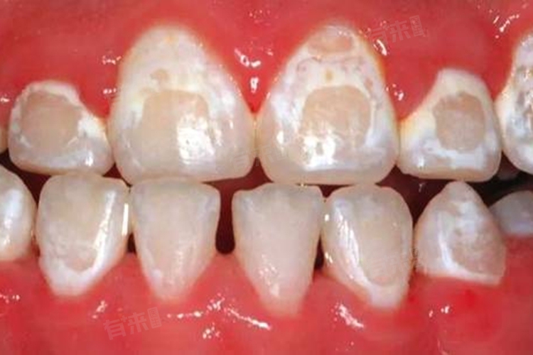
- 牙齿脱矿主要是指牙齿中的钙、磷等矿物质长期受到酸性环境影响发生流失,导致牙齿外观改变、龋齿等症状的出现。这种酸性环境可能来源于日常饮食中的酸性食物、碳酸饮料等,也可能与刷牙不当、胚胎期牙齿缺钙等因素有关。当牙齿表面的矿物质流失时,牙齿的颜色会发生变化,可能出现微黄的斑点,表面也可能出现浅凹陷或细沟。
- 对于早期的牙齿脱矿,通过调整饮食习惯,减少酸性食物和饮料的摄入,增加口腔清洁的频率和有效性,可以在一定程度上促进牙齿的再矿化。使用含氟牙膏刷牙或进行局部涂氟也是促进牙齿再矿化的有效方法。氟化物能够增强牙齿的抗酸性,促进牙齿表面的矿物质重新沉积,改善牙齿脱矿的情况。
- 如果牙齿脱矿已经发展到一定程度,出现了明显的缺损或龋齿,就需要采取更为专业的治疗措施。对于缺损程度较轻的牙齿,可以使用树脂材料进行修复,防止脱矿面积进一步扩大。若影响美观,还可进行牙贴面治疗。对于缺损严重,深达牙髓的牙齿,则需要进行根管治疗,清除牙髓后再进行全冠修复,以恢复牙齿的形态和功能。
牙齿脱矿的恢复效果因人而异,具体取决于脱矿的程度、治疗的方法和患者的个体差异。在发现牙齿脱矿时,应及时前往正规医院口腔科就诊,由专业医生根据患者的具体情况制定个性化的治疗方案。

