如果病因消除且保持良好习惯,湿疹结黄痂则会自愈;如果病因复杂或免疫弱则需就医治疗,无法自愈。

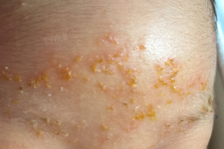
- 湿疹是由于多种内外因素引起的皮肤炎症反应。在湿疹发作过程中,皮肤会出现红斑、丘疹、水疱等症状。当水疱破裂后,会有渗出液流出,这些渗出液在空气中干燥后就会形成黄痂。黄痂的形成实际上是身体的一种自然保护机制,可以防止外界的细菌和污染物进一步侵入皮肤,同时也为皮肤的修复提供了一个相对稳定的环境。
- 一般情况下,如果湿疹的病因能够得到消除,并且患者能够保持良好的生活习惯和皮肤护理,湿疹结黄痂后是有很大可能自愈的。
- 在湿疹结黄痂自愈的过程中,身体的免疫系统会发挥重要作用。免疫系统会识别并清除引起炎症的病原体和有害物质,同时促进皮肤细胞的再生和修复。
- 这个过程可能需要一定的时间,具体时间长短因人而异,取决于湿疹的严重程度、患者的身体状况以及护理方法等因素。
- 也并非所有的湿疹结黄痂都能顺利自愈。如果湿疹的病因比较复杂,或者患者的免疫系统功能较弱,那么湿疹可能会持续存在甚至加重。在这种情况下,患者应该及时就医,寻求专业的治疗建议。医生可能会根据患者的具体情况,开具外用药物、口服药物或者进行其他治疗方法,以帮助湿疹尽快愈合。
患者应该保持良好的生活习惯和皮肤护理,密切观察病情的变化。如果湿疹持续不愈或者出现加重的情况,应及时就医,以便采取有效的治疗措施。让我们重视湿疹的治疗和护理,期待皮肤早日恢复健康。

