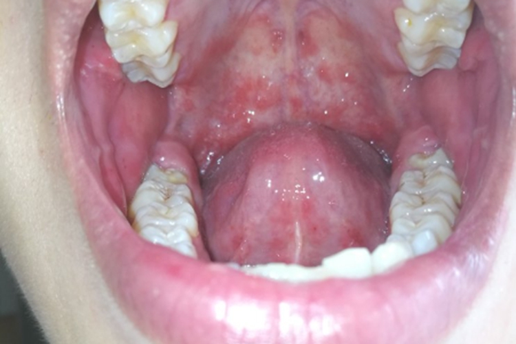
孩子上牙膛有一片红血点可能是机械损伤、过敏反应、口腔炎症、病毒性疾病、血液系统疾病等所致,应根据具体病因采取相应措施,家长应仔细观察孩子的症状,必要时及时带孩子就医,明确原因,以便进行有效的治疗和护理。

1、机械损伤:孩子进食时如果食物过硬、过烫,或者不小心咬伤上牙膛,都可能导致局部黏膜受损,出现红血点。通常不需要特殊处理,保持口腔清洁,避免食用刺激性食物,一般数天内可自行恢复。
2、过敏反应:孩子接触或食用了过敏原,可能引发口腔黏膜过敏,导致上牙膛出现红血点,还可能伴有瘙痒、肿胀等症状。需要尽快找出过敏原并避免接触,症状严重时需就医治疗。
3、口腔炎症:如牙龈炎、牙周炎等炎症蔓延至上牙膛,会引起局部黏膜充血、红肿,出现红血点,需要加强口腔卫生,使用漱口水漱口,若炎症较重,可能需要就医进行专业的治疗。
4、病毒性疾病:如手足口病、疱疹性咽峡炎等,可能在牙膛形成红血点,可能伴有发热、咽痛等症状。应遵医嘱进行抗病毒治疗,并注意隔离,防止传染。
5、血液系统疾病:如血小板减少性紫癜、白血病等血液系统疾病,可能导致全身皮肤黏膜出血,包括上牙膛出现红血点,还伴有其他部位的出血症状,如皮肤瘀斑、鼻出血等。一旦发现,必须立即就医,进行全面的检查和治疗。
避免给孩子食用过热、过硬、辛辣等刺激性食物,以免加重口腔不适,孩子可能因口腔不适而感到烦躁不安,家长应给予足够的关爱和安抚。

