舌底溃疡是指发生在舌头底部的黏膜溃疡性病变,会引起疼痛、进食困难等不适,其成因较为复杂,涉及局部创伤、感染、免疫异常以及全身性疾病等多个方面,可能是维生素B族缺乏、创伤性溃疡等导致的。

1、维生素B族缺乏:长期饮食中维生素B族摄入不足,会影响舌底黏膜的正常代谢和修复功能,导致黏膜抵抗力下降,容易发生溃疡。患者可能还伴有口角炎、唇炎、舌炎等其他黏膜炎症表现,以及消化不良、贫血等全身症状,通过调整饮食结构,补充相应维生素,有助于改善黏膜状况,促进溃疡愈合。
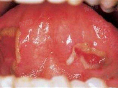
2、创伤性溃疡:尖锐的食物残渣如鱼骨、薯片碎屑等划伤舌底黏膜,或佩戴不合适的假牙、牙齿矫正器等长期摩擦刺激舌底组织,造成局部黏膜破损,进而发展为溃疡。这种溃疡的形状和位置往往与创伤源相关,初期可能表现为轻微疼痛和红肿,若不及时处理,溃疡可能会加重并影响进食和说话。
3、复发性阿弗他溃疡:这是一种常见的口腔溃疡类型,病因不明,可能与遗传、免疫、精神压力、内分泌失调等因素有关。当身体处于应激状态或免疫功能紊乱时,舌底黏膜容易出现圆形或椭圆形的溃疡,溃疡表面覆盖黄色假膜、周围有红晕、中央凹陷、疼痛明显,且容易反复发作,给患者带来较大困扰。
4、舌底黏膜扁平苔藓:这是一种慢性炎症性疾病,可能与免疫、遗传、感染、精神因素等有关。病变累及舌底时,黏膜会出现白色网纹或斑块,患者可能自觉黏膜粗糙、木涩感,当病变区域出现糜烂或溃疡时,疼痛加剧,且病程较长,容易反复发作,严重影响患者的生活质量。
5、白塞病:这是一种全身性自身免疫性疾病,口腔溃疡是其常见症状之一,除了舌底溃疡外,还可能出现生殖器溃疡、眼部炎症、皮肤损害等表现,口腔溃疡疼痛剧烈,愈合缓慢,且经常反复发生,同时可伴有发热、关节疼痛、乏力等全身症状。
如果舌底溃疡面积逐渐扩大、疼痛剧烈且难以忍受,需及时就医,进行全身检查,以准确判断病因,并制定个性化的治疗方案。
舌底溃疡怎么办
- 保持口腔清洁:使用软毛牙刷轻柔地刷牙,同时用清水或淡盐水在饭后及睡前仔细漱口,确保舌底溃疡处没有食物残渣残留,减少细菌滋生,避免溃疡因细菌感染而加重,为其愈合提供清洁的口腔环境,降低炎症反应,缓解疼痛。
- 避免刺激源:尽量避免食用辛辣、过烫、过酸的食物,这些食物会直接刺激舌底溃疡面,导致疼痛加剧,延缓愈合过程。也要避免舌头过度活动,如频繁说话、咀嚼硬物等,防止对溃疡部位造成额外的摩擦和压力,让溃疡有相对稳定的恢复条件,减轻不适症状。
- 舒缓疼痛不适:可以遵医嘱选择专门针对口腔溃疡的口腔喷雾或凝胶,按照正确的方法涂抹或喷洒在舌底溃疡处,形成一层保护膜,隔离外界刺激,减轻疼痛感,同时促进溃疡面的愈合,帮助口腔黏膜尽快恢复正常状态,提高生活质量。

