牙黄是指牙齿颜色因各种原因发生改变,呈现出黄色、棕色甚至更深的色泽,偏离正常健康牙齿应有的洁白外观,可能是外源性色素沉着、口腔卫生不良、氟斑牙等原因引起的。牙齿颜色的变化不仅影响个人的外在形象和自信心,还可能暗示着口腔健康方面的潜在问题。

1、外源性色素沉着:日常生活中的饮食和不良习惯是导致外源性牙黄的主要原因,经常食用含有色素的食物和饮品,如咖啡、茶、可乐、红酒、酱油等,这些食物中的色素分子会逐渐附着在牙齿表面。长期吸烟也是造成牙黄的重要因素,香烟中的焦油等有害物质会在牙齿表面形成一层棕色或黑色的烟渍。嚼槟榔不仅会使牙齿变黄,还会对口腔黏膜造成严重损害。若不注意口腔清洁,这些色素和污渍会不断积累,使牙齿颜色越来越深。
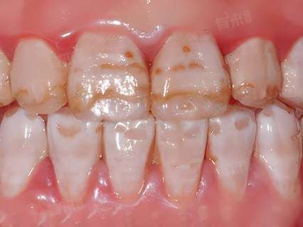
2、口腔卫生不良:不按时刷牙、刷牙方法不正确或者刷牙时间过短,会导致口腔内食物残渣、软垢以及细菌大量堆积。这些物质在口腔内分解发酵,产生的代谢产物会与口腔中的唾液蛋白结合,形成牙菌斑。随着时间推移,牙菌斑矿化后变成牙结石,牙结石通常呈现黄色、棕色或黑色,牢固地附着在牙齿表面,尤其是牙龈边缘和牙缝处,使牙齿外观发黄。长期不清洁口腔还会引发口臭等其他口腔问题。
3、氟斑牙:是在牙齿发育矿化期,长期摄入过量的氟引起的。饮水是人体摄入氟的主要途径,若生活在高氟地区,饮用水中氟含量过高,或者长期使用含氟量超标的牙膏等,过量的氟会干扰牙釉质的正常矿化过程,使牙釉质形成多孔性结构,容易吸附外来色素,从而导致牙齿出现白垩色、黄色甚至棕色斑块或条纹。氟斑牙一般对称分布在同一时期萌出的牙齿上,严重影响牙齿美观。
在牙齿发育矿化期,若服用了四环素类药物,如四环素、土霉素等,这些药物会与牙齿中的钙结合,形成一种稳定的四环素钙复合物,沉积在牙本质中,使牙齿变色。牙齿变色的程度与用药剂量、用药时间以及牙齿发育阶段有关,通常牙齿呈现黄色、棕色或深灰色,且在牙齿萌出后,随着年龄增长和外界因素影响,颜色会逐渐加深。四环素牙主要影响恒牙,乳牙较少受累,因为胎盘对四环素类药物有一定的屏障作用。
牙黄的注意事项
- 每天早晚使用软毛牙刷,采用巴氏刷牙法,每次刷牙时间不少于3分钟,确保牙齿的每个面,包括唇面、舌面、咬合面都能得到彻底清洁。饭后及时漱口,可使用清水或含有杀菌成分的漱口水,清除口腔内残留的食物碎屑,减少色素和细菌附着。定期使用牙线,深入清洁牙缝,去除牙刷难以触及的污垢。建议每3个月更换一次牙刷,保证牙刷的清洁效果。
- 减少食用容易导致牙齿染色的食物和饮品,若无法避免,可使用吸管饮用,减少色素与牙齿的直接接触。增加富含维生素C、钙、磷等营养素的食物摄入,如柑橘类水果、牛奶、豆制品、坚果等,有助于增强牙釉质的强度和抗染色能力。保持饮食均衡,多吃新鲜蔬菜,蔬菜中的膳食纤维在咀嚼过程中可起到清洁牙齿的作用。

