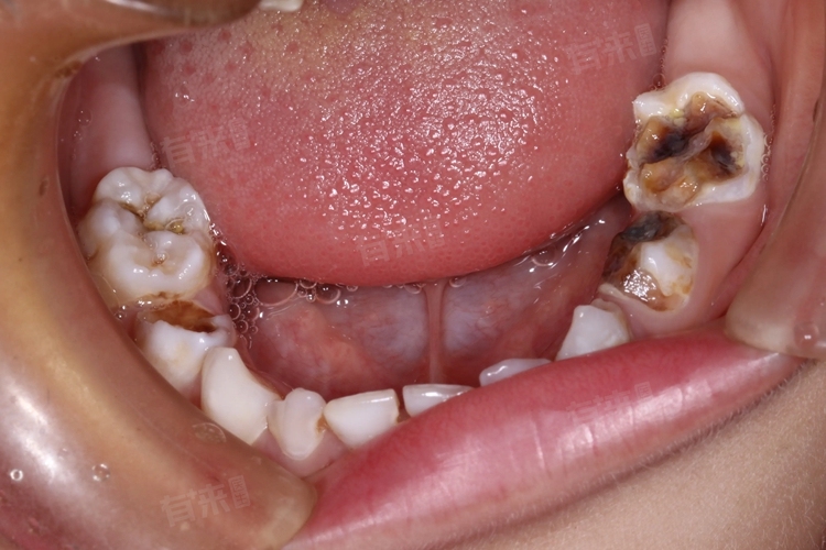
牙齿坏到烂空发臭,主要是由于长期龋齿未得到有效治疗,细菌持续侵蚀牙体组织,龋洞不断加深扩大,食物残渣嵌塞其中发酵腐败,同时牙髓感染产生炎性分泌物,多种因素共同导致口腔异味。针对这种情况,需根据牙齿实际情况选择合适的治疗方法,如残根拔除等。

1、残根拔除:若牙齿烂空程度严重,牙体组织大部分缺失,牙根也严重受损,无法通过修复手段保留,应及时拔除残根。残留的烂牙根不仅会持续散发臭味,还可能成为感染源,引发根尖周炎、颌面部间隙感染等并发症。拔除后可避免病情进一步恶化,待创口愈合后,再根据需求选择镶牙或种植牙。
2、根管治疗+桩核冠修复:当牙齿烂空但牙根仍有保留价值时,可先进行根管治疗。通过清除根管内感染的牙髓组织,消毒并充填根管,消除炎症。待炎症消退后,在根管内植入桩核,再制作牙冠进行修复,恢复牙齿的外形和咀嚼功能,有效改善口臭问题,延长患牙使用寿命。
3、清创消毒+临时修复:对于烂空程度相对较轻,且不适宜立即进行根管治疗或拔牙的情况,可先对龋洞进行彻底清创,去除腐质和食物残渣,使用消毒药物对龋洞进行消毒处理,减少细菌滋生。之后可选择合适的材料进行临时修复,隔绝外界刺激,缓解口臭,待条件成熟后再进行进一步治疗。
4、药物辅助治疗:在处理烂空牙齿的同时,可配合药物治疗缓解症状。使用抗菌消炎的漱口水,能够抑制口腔内细菌生长,减少细菌分解食物残渣产生的异味;若存在明显的牙龈炎症或牙髓感染,可在医生指导下口服抗菌药物,控制炎症,减轻口臭,为后续治疗创造良好条件。
5、加强口腔卫生维护:无论采取哪种治疗方式,日常口腔卫生维护都至关重要。坚持早晚正确刷牙,饭后及时漱口,使用牙线、牙缝刷清理牙缝,去除食物残渣;定期到口腔医院进行洁牙,清除牙结石和牙菌斑;同时,养成良好的饮食习惯,减少高糖食物摄入,降低牙齿再次龋坏的风险,防止口臭复发。
牙齿烂空发臭的治疗需综合考虑牙齿具体状况,及时治疗不仅能消除口臭,还能避免病情恶化影响口腔健康。同时,重视日常口腔保健,才能从根本上预防牙齿龋坏,保持口腔清新健康。
牙坏了烂空了应做哪些检查
- 口腔专科检查:医生会通过视诊观察牙齿烂空的部位、程度,查看龋洞大小、深度以及剩余牙体组织的情况,同时检查牙龈有无红肿、溢脓等炎症表现。通过探针探查龋洞,判断腐质的范围和牙髓是否暴露,评估牙齿的松动程度。
- 影像学检查:X线牙片能够清晰显示龋洞与牙髓腔的关系,帮助判断龋坏是否累及牙髓、根尖周组织是否存在病变,如骨质破坏、根尖阴影等。对于复杂病例,还会拍摄口腔全景片,全面了解口腔内牙齿、牙槽骨的整体情况,观察邻牙是否受到影响,以及剩余牙槽骨的量,为后续修复方案提供参考。
- 牙髓活力测试:通过冷热刺激或电刺激的方法,检测牙髓对刺激的反应。若牙髓对刺激无反应,说明可能已经坏死;若反应过于敏感,则提示牙髓处于充血或炎症状态。该检查对于确定是否需要进行根管治疗具有重要意义。

