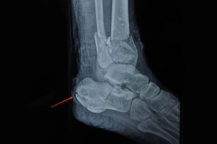
左跟骨骨折通常是由于外力作用或自身骨骼疾病等原因导致,包括高处坠落、交通事故、运动损伤、骨质疏松等方面,患者应积极配合治疗,做好康复护理,以促进恢复。

1、高处坠落:从高处坠落时,足跟先着地,巨大的冲击力集中在跟骨,容易造成骨折。骨折后应立即制动,避免负重,尽快就医。若骨折较轻,可采取保守治疗,如石膏固定。
2、交通事故:车祸中受到撞击或挤压,可导致左跟骨骨折。此时需进行详细的检查,判断骨折类型和严重程度。对于轻度骨折,可通过支具固定;严重骨折可能需要手术复位内固定。
3、运动损伤:在进行剧烈运动,如篮球、足球等,突然的扭转或碰撞可能引起跟骨骨折。伤后应冷敷、抬高患肢,减轻肿胀。治疗方法根据骨折情况而定,包括保守治疗和手术治疗。
4、骨质疏松:老年人或长期患有影响骨代谢疾病的人群,骨密度降低,骨骼脆弱,轻微的外力就可能导致跟骨骨折。治疗时除了处理骨折,还需治疗骨质疏松,以促进骨折愈合和预防再次骨折。
5、骨肿瘤:跟骨本身存在肿瘤,使骨骼结构被破坏,在正常活动中也可能发生骨折。这种情况需要针对原发病进行治疗,同时处理骨折,以恢复跟骨的功能。
无论是保守治疗还是手术治疗,患者都应在医生指导下进行系统的康复训练,康复训练包括肌肉力量训练、关节活动度恢复、平衡与协调性训练等,旨在促进骨折愈合、恢复足部功能。

