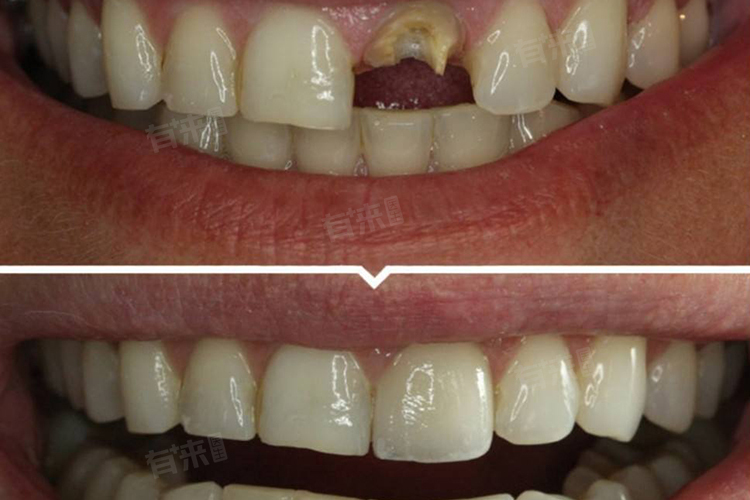
补牙的价格因牙齿损坏程度、补牙材料选择、医院级别与地区差异等多种因素而异,可能在100-10000元不等。不同情况价格不一样,建议积极咨询相关机构。
1、牙齿损坏程度:
- 轻度损坏:如浅龋和中龋,补牙费用相对较低,可能是100-1000元。
- 重度损坏:如深龋、牙髓炎或需要根管治疗的情况,补牙费用会相应增加,可能在5000元以上。
2、补牙材料选择:
- 银汞合金补牙:价格较低,但美观性较差,大概在100-300元每颗,但使用较少。
- 玻璃离子补牙:大约在200-400元每颗,价格适中,具有良好的黏性和稳定性,对牙齿刺激性小,但美观度相对较差
- 国产树脂补牙:价格一般在140-500元,具体取决于所选材料的品质和耐磨程度。
- 复合树脂补牙:价格较高,通常在300-600元每颗,进口高端树脂补牙价格可能达到600元以上。
- 其他高级补牙材料:如嵌体补牙、全瓷冠修复等,价格更高,嵌体补牙价格在1800-2500元每颗不等,全瓷冠修复价格在1000-6500元每颗。
3、医院级别与地区差异:
- 三甲医院:补牙费用通常较高,可能在10000元不等。
- 口腔诊所或二甲医院:费用相对较低,可能在1000元不等。
- 地区差异:大城市补牙费用通常高于中小城市,可能在100-10000元。
补牙的价格因多种因素而异,因此在补牙前,患者应选择正规的医疗机构进行咨询和检查,并根据自身情况选择合适的补牙材料和方案。同时也要注意口腔卫生和定期复诊检查,以延长补牙的使用寿命。
一般补个牙需要注意什么
- 口腔清洁:补牙前要认真刷牙,尽量清除牙齿表面的食物残渣与牙菌斑,让医生能更清晰准确地查看牙齿龋坏情况,利于后续治疗操作。
- 如实告知:要向医生详细说明自己的牙齿症状、过往病史以及是否对某些药物过敏等情况,方便医生制定合适的治疗方案。
- 放松心态:保持放松,积极配合医生的指示,比如张嘴、调整体位等,有助于补牙过程顺利进行。
- 饮食调整:短期内避免食用过硬、过黏的食物,防止补牙材料脱落,待材料完全固化稳定后再恢复正常饮食。
- 口腔卫生:坚持早晚刷牙、饭后漱口,保持口腔清洁,减少细菌滋生,同时注意观察补牙处有无疼痛、松动等异常情况,如有不适需及时复诊。

