双轨征是一种具有特殊影像学表现的体征,在医学诊断中具有重要的提示作用。它通常出现在某些特定疾病的影像检查中,包括慢性支气管炎、支气管扩张症、膜性增生性肾小球肾炎、肺性肥大性骨关节病等。

1、慢性支气管炎:是一种常见的呼吸系统疾病,主要表现为反复发作的咳嗽、咳痰,部分患者可伴有喘息。在影像学检查中,双轨征可出现在慢性支气管炎患者的胸部X光片或CT上。由于慢性炎症刺激,支气管壁增厚,管腔狭窄,当支气管内存在分泌物时,可形成两条平行的致密影,类似双轨。
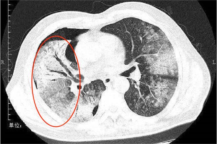
2、支气管扩张症:是一种以支气管永久性扩张为特征的疾病,多由反复的呼吸道感染引起。在高分辨率CT检查中,双轨征是支气管扩张的典型表现之一。扩张的支气管在影像上呈现为与伴行的肺动脉血管类似粗细的管状结构,两者并行排列,形似双轨。这种表现提示支气管壁的弹性纤维和软骨组织受到破坏,导致支气管不可逆地扩张。
3、膜性增生性肾小球肾炎:是一种肾小球疾病,其病理特征为肾小球系膜细胞和基质增生,毛细血管壁增厚。在光镜下,肾小球毛细血管袢的基底膜呈现双轨状或分层状改变,这是由于基底膜内皮细胞下和系膜区的免疫复合物沉积,导致基底膜增厚和分层。这种病理改变提示肾小球滤过膜的完整性受损,可能导致蛋白尿、血尿等症状。
4、肺性肥大性骨关节病:是一种与慢性肺部疾病相关的骨关节病变,常继发于慢性支气管炎、肺气肿等疾病。在X光片或CT检查中,双轨征可出现在患者的长骨骨干部位。由于慢性缺氧和代谢紊乱,骨膜下新骨形成,导致长骨骨干增粗,形成类似双轨的影像学表现。
然而,双轨征并非特异性表现,其诊断还需结合患者的临床症状、病史以及其他检查结果,进行综合分析和判断,以确保诊断的准确性。
出现双轨征后的日常注意事项
- 出现双轨征后,需密切关注自身症状是否加重或出现新的异常表现。留意是否有呼吸困难、胸闷、咳嗽加剧等情况。若症状持续恶化,应及时就医,以便明确病因并采取针对性的治疗措施。
- 注重保持呼吸道通畅,避免接触刺激性气体和粉尘,如厨房油烟、汽车尾气等。保持室内空气清新,可适当使用空气净化器。若因鼻腔分泌物导致呼吸不畅,可使用生理盐水冲洗鼻腔,但要注意冲洗方法和频率,避免损伤鼻黏膜。
- 合理安排饮食,多吃富含维生素和蛋白质的食物,如新鲜蔬菜、水果、鱼肉等。避免食用易引起过敏或刺激呼吸道的食物,如海鲜、辛辣食物等。保证充足的休息时间,避免过度劳累,让身体有足够的时间恢复。

