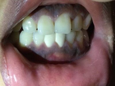
儿童牙龈发紫黑可能由多种原因引起,包括外伤、龋齿、牙龈炎、牙髓炎、根尖周炎等,需要根据具体原因进行处理。

1、外伤:如果牙龈发紫黑是由于外伤导致的血肿,一般不需要特殊处理,血肿会自行吸收。但如果伴有严重出血或感染,可能需要进行清创和缝合等处理。如果是外伤导致的牙龈发紫黑,可以使用冰袋对患处进行冷敷处理,减轻肿胀和疼痛,并需要注意保持口腔卫生,避免感染。
2、龋齿:如果是龋齿导致的牙龈发紫黑,可能需要进行补牙治疗,医生会去除龋坏组织,并用树脂等材料进行填充。
3、牙龈炎:对于牙龈炎医生可能会建议进行超声波洗牙,清除牙菌斑和牙结石,并可能开具抗生素或其他药物控制炎症。
4、牙髓炎和根尖周炎:两种情况可能需要进行根管治疗,清除感染物质并封闭根管,防止炎症扩散。
家长应指导孩子养成良好的口腔卫生习惯,如早晚刷牙、饭后漱口等。可以使用儿童专用的牙刷和牙膏,确保刷牙效果。注意孩子的饮食均衡,多摄入富含维生素C和钙质的食物,如新鲜水果、蔬菜、牛奶等,避免过多摄入甜食和碳酸饮料等容易腐蚀牙齿的食物。
如果牙龈发紫黑的症状持续不减或伴有其他症状,如疼痛、肿胀等,家长应及时带孩子就医检查。医生会通过口腔检查、X光片等手段评估孩子的牙齿和牙龈状况。

