獭尾肝是肝脏的一种良性结构变异,不属于疾病的范畴。患者无需过于担心,但应定期复查并保持良好的生活习惯。如有任何疑虑或症状出现,应及时就医咨询专业医生。

1、獭尾肝的特点:
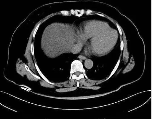
- 形态变异:獭尾肝是肝脏结构的一种变异,表现为肝左叶向左后方凸起,形似水獭的尾巴。
- 无病理性改变:獭尾肝本身并不伴有任何病理性的改变,因此不属于疾病的范畴。
- 常见性:獭尾肝在部分正常发育的肝脏以及合并有脂肪肝的情况下较为常见。
2、獭尾肝的处理:
- 无需特殊治疗:由于獭尾肝是一种良性的结构变异,且没有病理性的改变,因此一般不需要进行特殊的治疗。
- 定期复查:尽管獭尾肝不需要特殊治疗,但建议患者定期复查,以监测肝脏的形态和功能变化。
- 注意生活习惯:患者应注意保持良好的生活习惯,如戒烟戒酒、避免熬夜、保持良好的作息规律等,以避免对肝脏造成不良影响。
3、獭尾肝的鉴别诊断:
- 与脾脏疾病的鉴别:由于獭尾肝的形态特殊,有时可能会被误诊为脾肿大、脾肿瘤等脾脏疾病。因此,在临床上需要进行仔细的鉴别诊断。
- 与肝脏疾病的鉴别:虽然獭尾肝本身不是疾病,但患者仍需关注肝功能的变化。如果伴有肝炎、肝功能异常等肝脏疾病,需要及时进行治疗。
獭尾肝本身并不会增加肝癌的发病风险。肝癌的发生主要与慢性肝病,如乙肝、丙肝、肝硬化等因素有关。患者日常需定期监测肝功能和肝脏形态的变化,以及时发现和治疗可能存在的肝脏疾病。

