膀胱壁增厚并不一定意味着癌症,但需要结合患者的具体症状、病史以及进一步的检查结果来综合判断癌症的几率大小,无法给出具体答案。

- 长期憋尿会使膀胱过度充盈,膀胱壁肌肉长期处于紧张状态,久而久之可能导致膀胱壁增厚。这种因不良生活习惯引起的膀胱壁增厚,在改变习惯后,膀胱功能逐渐恢复,一般不会发展为癌症,几率很低。
- 泌尿系统感染是导致膀胱壁增厚的常见原因之一,当膀胱受到细菌、病毒等病原体感染时,膀胱黏膜会发生炎症反应,引起膀胱壁水肿、增厚。这种情况下,经过抗感染治疗后,膀胱壁通常会恢复正常厚度,癌症的几率相对较小。
- 膀胱结石在膀胱内移动时,可能会刺激膀胱壁,引起局部炎症和增厚。通过去除结石、缓解炎症后,膀胱壁也会有所改善,癌症的风险通常不大。
- 如果患者出现无痛性肉眼血尿,同时检查发现膀胱壁增厚,那么癌症的几率就会增加。膀胱癌是引起无痛性血尿和膀胱壁增厚的常见原因之一。尤其是对于年龄较大、有吸烟史等高危因素的患者,更应高度警惕癌症的可能。
- 经过一段时间的观察和治疗,膀胱壁增厚没有明显改善,甚至进一步加重,这种情况癌症的风险也会相应提高。例如一些患者在排除了炎症、结石等常见原因后,膀胱壁仍然持续增厚,就需要进一步进行膀胱镜检查等,以明确是否存在癌症。
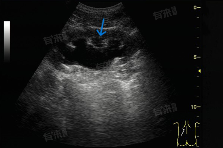
在超声、CT 等影像学检查中,如果膀胱壁增厚呈现不规则形态、局部突出、血供丰富等异常特征,癌症的可能性也会增大。如果发现膀胱壁增厚,应及时就医,进行全面的检查和评估,以便早期发现和治疗潜在的疾病。

