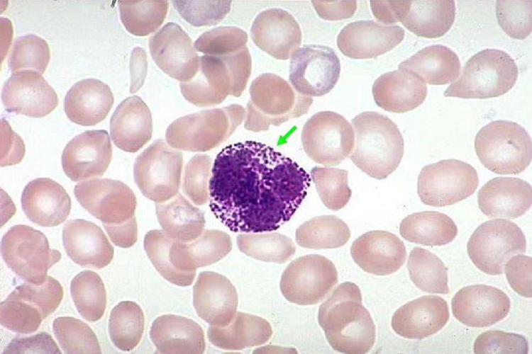
嗜碱性粒细胞是人体白细胞的一种,在正常情况下数量相对较少,但在某些病理状态下可能会增多,嗜碱性粒细胞偏高可能涉及多种原因,包括药物副作用、过敏反应等,处理方法应根据患者自身具体情况而定,以有效缓解症状。

1、药物副作用:如化疗药物、抗生素等,也可能引起嗜碱性粒细胞偏高,这些药物可能通过影响骨髓造血功能或免疫系统,导致嗜碱性粒细胞数量异常增多。
2、过敏反应:是导致嗜碱性粒细胞偏高的常见原因之一,当人体接触到过敏原时,如花粉、尘螨、食物等,免疫系统会释放组胺等炎性介质,引发过敏反应,嗜碱性粒细胞会释放颗粒中的组胺、肝素等物质,参与过敏反应过程,导致数量增多。
3、继发感染:某些病毒、细菌或寄生虫感染也可能引起嗜碱性粒细胞偏高,如水痘、流感等病毒感染,以及部分寄生虫感染,都可能刺激免疫系统,导致嗜碱性粒细胞数量增多。
4、血液系统疾病:部分血液系统疾病,如慢性粒细胞白血病、骨髓纤维化等,也可能导致嗜碱性粒细胞偏高,这些疾病通常涉及骨髓造血功能的异常,导致嗜碱性粒细胞等白细胞数量增多。
嗜碱性粒细胞偏高可能涉及多种原因,需要仔细分析患者的具体情况,对于疑似嗜碱性粒细胞偏高的患者,建议进行详细的病史询问、体格检查和必要的实验室检查,以确定具体原因,并采取相应的治疗措施。
嗜碱性粒细胞偏高的注意事项
- 避免过敏原:如果患者是由于过敏反应导致的嗜碱性粒细胞偏高,应尽量避免接触过敏原,以减少过敏反应的发生。
- 定期监测:患者应定期进行血常规检查,监测嗜碱性粒细胞数量的变化,如发现数量持续增多或伴有其他症状,应及时就医咨询。
- 遵医嘱用药:对于因药物副作用导致的嗜碱性粒细胞偏高,患者应遵医嘱用药,避免自行停药或更改药物剂量。
- 保持健康生活方式:患者应保持良好的生活习惯和饮食习惯,增强身体免疫力,预防疾病的发生,避免过度劳累和精神紧张,保持心情愉悦。

