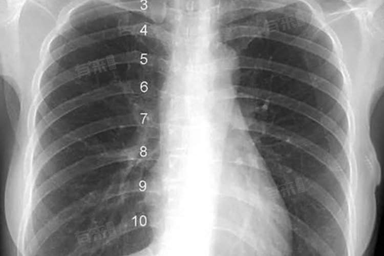
双侧肋膈角锐利在影像学检查中表现为肋膈角形态正常,没有明显异常。这一术语主要用于描述胸腔与腹腔交界处的肋膈角在X线或CT等影像学检查中的表现,肋膈角锐利通常意味着两侧的膈肌附着点较为靠上,且胸膜下脂肪组织较少,属于正常的解剖结构。但双侧肋膈角锐利也可能与疾病相关,如胸膜增厚或粘连、胸膜积液等。

1、胸膜增厚或粘连:胸膜增厚或粘连可能导致肋膈角形态的改变,虽然不一定直接表现为肋膈角锐利,但它们是胸腔疾病的重要表现之一。这类情况通常由炎症、感染或外伤引起,需要通过进一步的医学检查来确定具体原因。
2、胸膜积液:胸膜积液是指胸膜腔内液体异常增多的现象,大量积液可能导致肋膈角变得更为明显,但不一定意味着肋膈角本身锐利。胸膜积液的原因多样,包括感染、肿瘤、心脏衰竭等,需要综合病史、体检和影像学检查来诊断。
3、慢性阻塞性肺疾病:慢性阻塞性肺疾病患者由于肺过度膨胀,可能导致肋膈角在影像学检查中显得异常锐利。慢性阻塞性肺疾病是一种长期慢性的肺部疾病,主要表现为持续的气流受限,通常由吸烟、职业灰尘或化学物质等因素引起。除了肋膈角锐利外,慢性阻塞性肺疾病患者还可能出现咳嗽、咳痰、呼吸困难等症状。
4、先天性畸形:先天性结构异常也可能导致肋膈角异常锐利,这类情况较为罕见,但需要通过详细的医学检查和评估来确定。
5、胸腔内占位性病变:胸腔内的肿瘤或囊肿等占位性病变可能压迫和改变肋膈角的形态,使其显得更为锐利。这类病变通常需要进一步的影像学检查,如CT或MRI,以及可能的组织活检来确诊。
当发现双侧肋膈角锐利时,应结合患者的病史、症状和其他医学检查结果进行综合评估。如有必要,应及时就医并遵循医嘱进行进一步检查和治疗。
双侧肋膈角锐利能治好吗
- 双侧肋膈角锐利,这一医学影像学术语,通常出现在胸部X光或CT检查的报告中。表明胸腔内无积液,胸膜未增厚,是胸膜和胸膜腔处于正常状态的象征。
- 如果双侧肋膈角锐利,且患者无其他不适症状,通常被视为正常的生理现象,无需进行特殊治疗。此时患者应保持健康的生活方式,如合理饮食、适量运动、规律作息等,以维护胸膜和胸膜腔的正常功能。
- 但如果双侧肋膈角出现变化,如变钝或模糊不清,可能提示胸腔内存在积液或其他异常情况,如肺部感染、胸膜炎等。在这种情况下,患者需要及时就医,进行详细检查,并根据病因采取相应的治疗措施。治疗方法可能包括药物治疗或手术治疗,以消除炎症、排出积液,恢复胸膜和胸膜腔的正常状态。
- 双侧肋膈角锐利本身无需治疗,但应保持健康的生活方式,以预防潜在疾病的发生。如果肋膈角出现异常变化,应及时就医,根据病因采取相应的治疗措施,以确保身体健康。

