肝内多发囊性灶是一种在肝脏影像学检查中常见的表现,是否需要治疗应根据具体情况而定。对于无症状的小囊肿,定期观察即可。对于有症状的较大囊肿或由特定病因引起的囊性灶,则需要根据病情选择合适的治疗方法。

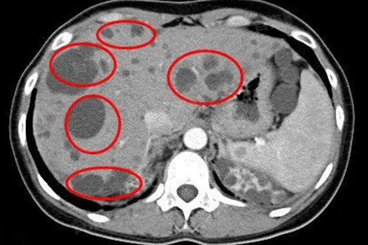
- 肝内多发囊性灶通常是指在肝脏内发现多个充满液体的囊腔,这些囊性灶可能由多种原因引起。其中,最常见的是肝囊肿。肝囊肿大多为先天性,是由于胚胎时期胆管发育异常所致。一些寄生虫感染,如肝包虫病,以及创伤后形成的假性囊肿等也可能表现为肝内多发囊性灶。
- 如果肝内多发囊性灶较小,且患者没有任何症状,一般不需要特殊治疗。这种情况下,可以定期进行超声、CT等影像学检查,观察囊性灶的大小、数量变化以及有无其他异常表现。通常建议每半年至一年复查一次,以便及时发现可能出现的问题。
- 但是,如果囊性灶较大,可能会产生一些不良影响,此时可能需要考虑治疗。例如,当囊肿增大压迫周围组织和器官时,可能会引起右上腹疼痛、腹胀、恶心、呕吐等不适症状。巨大的囊肿还可能压迫胆管,导致胆汁排泄不畅,出现黄疸。
对于有症状的较大囊肿,可以根据情况遵医嘱采取超声引导下穿刺抽液、囊肿开窗术、肝部分切除术等治疗方法。如果肝内多发囊性灶是由寄生虫感染引起的,如肝包虫病,则需要进行抗寄生虫治疗,并根据病情选择合适的手术方法。

