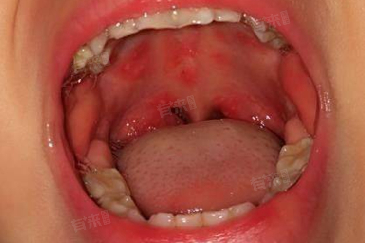
当口腔内出现疱疹时,通常是由疱疹病毒感染引起的,尤其是单纯疱疹病毒。针对这种情况,可以配合医生采取保持口腔清洁、抗病毒治疗、镇痛治疗等措施进行治疗和护理。

1、保持口腔清洁
- 定期漱口:使用温和的漱口水,如含有氯己定成分的漱口水,可以帮助减少口腔内的细菌数量,预防继发感染。
- 轻柔刷牙:选择软毛牙刷,轻柔地刷牙,避免刷毛过硬或刷牙力度过大对疱疹造成刺激。
2、抗病毒治疗
- 口服药物:在医生的指导下,可以口服抗病毒药物,能够抑制病毒复制,缩短病程,减轻症状。
- 局部用药:口腔疱疹局部可以遵医嘱涂抹抗病毒药物,直接作用于病灶,提高治疗效果。
3、镇痛治疗
- 口腔疱疹常伴有疼痛,可以听从医生建议使用非甾体抗炎药缓解疼痛,药物通过抑制炎症介质的合成来减轻疼痛。
4、调整生活习惯
- 饮食调整:避免食用辛辣、过热、过硬等刺激性食物,以免加重疼痛和损伤口腔黏膜。建议选择清淡、易消化的食物,如小米粥、南瓜粥等。
- 充足休息:保持充足的睡眠时间,避免熬夜和过度劳累,有助于提升机体免疫力,促进疱疹恢复。
- 心理调适:保持积极乐观的心态,避免过度紧张和焦虑,有助于缓解病情带来的不适。
如果口腔疱疹症状严重或持续不愈,建议及时就医检查和治疗,医生会根据患者的具体情况制定个性化的治疗方案。在治疗过程中,患者应积极配合医生的治疗方案,并注意保持良好的生活习惯和心态,以促进疱疹的尽快恢复。

