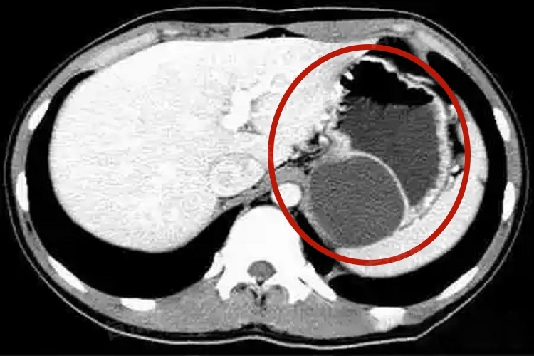
胃囊肿是指胃壁出现囊性肿物,其内部含有液体或半固体物质。囊肿可以发生在胃的任何部位,从胃黏膜层到浆膜层都有可能。它是一种相对少见的胃部疾病,通常是良性病变,一般情况下不严重。

1、发生原因
- 先天性因素:在胚胎发育过程中,胃的组织结构出现异常,可能导致胃囊肿的形成。
- 外伤:胃部受到外部撞击等外伤,可能损伤胃壁组织,之后在修复过程中形成囊肿。
- 炎症刺激:长期的胃部炎症,如幽门螺杆菌感染引起的胃炎等,会导致胃黏膜受损,胃黏膜上皮细胞增生,进而形成囊肿。
- 腺管阻塞:胃内的腺管由于结石、瘢痕等原因发生阻塞,腺体内的分泌物不能正常排出,积聚后就会形成囊肿。
2、症状表现
- 上腹部不适:这是较为常见的症状,患者会感到上腹部隐隐作痛或者胀满不适,疼痛程度因人而异,可能是间歇性的,也可能是持续性的。
- 恶心和呕吐:当囊肿压迫胃部或者刺激胃部神经时,可能会引起恶心的感觉,严重时会出现呕吐,呕吐物一般为胃内容物。
- 食欲减退:由于胃部的不适感,患者可能会出现食欲下降的情况,长期下去可能导致体重减轻。
- 消化道出血:在少数情况下,如果囊肿破裂或者侵蚀胃壁血管,可能会引起消化道出血,表现为呕血或者黑便。
3、病情分析
- 大多数胃囊肿是良性的,而且在早期没有明显的症状或者症状很轻微。只要能够及时发现并且采取合适的治疗措施,如定期观察或者内镜下治疗,患者的预后通常较好,不会对生活质量和寿命造成太大的影响。
- 如果胃囊肿较大,压迫周围组织,可能会引起较为严重的并发症,如幽门梗阻,导致食物不能正常通过胃部进入小肠,或者囊肿发生恶变,这种情况就比较严重,会危及生命。不过胃囊肿恶变的概率相对较低。
若出现上腹部隐痛、胀满、恶心呕吐、食欲减退,甚至呕血黑便等症状,需警惕胃囊肿,应及时就医。挂消化内科,通过胃镜、超声胃镜、CT等检查明确诊断。无症状小囊肿多定期复查;有症状或较大囊肿,依病情遵医嘱选内镜或手术治疗。
胃囊肿的饮食注意事项
- 定时定点进食,比如每日三餐固定在早7点、午12点、晚6点左右,避免饥一顿饱一顿,每餐吃到七八分饱即可。
- 西兰花、胡萝卜富含维生素与膳食纤维,苹果、香蕉含果胶等有益成分,既能补充机体营养需求,维持身体正常代谢,又可借膳食纤维促胃肠蠕动,防便秘,减少因肠道积滞给胃部带来的压力传导。
- 少吃油炸物、肥肉等高脂肪食物,此类食物排空慢、消化难,易致胃酸反流、胃部饱胀不适,加重胃负担,清淡烹饪、选低油脂食材,如清蒸鱼替代油煎鱼,利于胃部健康。
- 每口食物咀嚼15-20次,充分磨碎食物,让唾液淀粉酶充分发挥初步消化功效,降低胃消化难度,也有助于感知饱腹感,避免进食过量。

