长智齿是人类口腔发育过程中的常见现象,通常代表着个体进入生理发育的后期阶段,意味着颌骨发育接近成熟。但是长智齿并非简单的牙齿萌出,可能伴随多种征兆,既可能是正常的生理情况,也可能是存在口腔问题。

1、口腔局部不适感:智齿萌出初期,患者常感到磨牙后区牙龈轻微胀痛或发痒,这是牙齿突破牙龈组织时引发的正常生理反应。部分人还会出现口腔黏膜轻微破损,伴随进食时的异物感,这种不适感通常在智齿完全萌出后逐渐消退。
2、牙龈红肿疼痛:若智齿萌出受阻或位置不正,容易引发冠周炎,导致牙龈红肿、疼痛加剧。患者咀嚼、吞咽时疼痛明显,严重时脸颊会出现肿胀,局部淋巴结也可能肿大,此时需及时干预治疗,避免炎症扩散。
3、牙齿排列变化:智齿萌出时产生的推力,可能影响邻牙位置,导致原有牙齿排列发生改变。尤其在牙列空间不足的情况下,智齿可能挤压邻牙,造成牙齿拥挤、移位,甚至引发咬合紊乱,影响正常咀嚼功能。
4、口腔卫生问题:由于智齿位置靠后,清洁难度较大,易导致食物残渣滞留。细菌在局部滋生繁殖,不仅会引发口臭,还可能造成龋齿、牙周炎等疾病。若不及时清洁,牙齿表面会逐渐出现龋洞,牙周组织也会受到破坏。
5、全身症状出现:在智齿冠周炎急性发作时,除了局部症状外,患者还可能出现全身症状,如发热、畏寒、乏力等。这表明炎症反应已影响到全身,若不及时控制,可能引发颌面部间隙感染等严重并发症,需立即就医处理。
长智齿期间,需特别注意口腔卫生,使用软毛牙刷仔细清洁智齿及周围区域,必要时可配合使用牙线、冲牙器。若出现持续疼痛、肿胀、发热等症状,应及时前往口腔科就诊。定期进行口腔检查,评估智齿生长情况,听从医生建议,决定是否需要拔除智齿,防止潜在口腔问题发生。
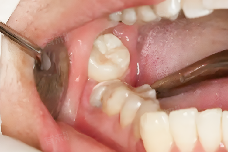
长智齿怎么治疗
- 炎症控制与局部护理:智齿萌出时若引发牙龈炎症,需加强口腔清洁,使用温盐水漱口减少细菌滋生。炎症明显时,可在医生指导下使用抗炎类药物缓解症状,避免炎症扩散。饮食选择温软食物,减少对牙龈的刺激,促进炎症消退。
- 评估智齿生长状态:通过口腔影像学检查判断智齿生长位置、方向及是否存在阻生。若智齿生长正常、无反复炎症且不影响邻牙,可定期观察无需特殊处理。若存在阻生、位置异常或压迫邻牙,需评估是否具备保留价值。
- 手术拔除异常智齿:对于阻生、反复发炎或影响邻牙健康的智齿,需进行拔除手术。手术需在炎症控制后进行,术后遵循医嘱护理,避免剧烈运动与刺激性饮食,防止伤口感染或愈合不良,确保拔牙创口顺利恢复。

