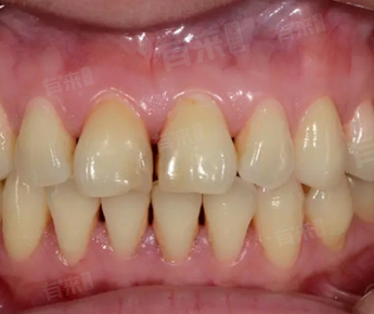
牙齿黑三角是指在相邻牙齿之间,牙龈乳头未能完全覆盖牙间隙,从而形成类似倒三角形的黑色空隙区域,其并非牙齿本身发黑,而是牙间隙暴露后的视觉效果。黑三角不仅影响美观,还易导致食物嵌塞,引发口腔问题。

- 从成因来看,牙龈萎缩是导致黑三角形成的关键因素。生理性牙龈萎缩常伴随年龄增长出现,而病理性牙龈萎缩多由牙周炎、不正确的刷牙方式(如横刷法)引起,破坏牙周组织,致使牙龈退缩。牙齿形态不佳、牙列拥挤、咬合异常或佩戴不良修复体,也会影响牙龈健康,增加黑三角出现的风险。
- 黑三角形成后,最直观的症状就是牙齿间出现明显的黑色三角形空隙,影响微笑美观。同时,由于牙间隙变大,进食时容易嵌塞食物,引发口臭。若不及时清理,残留食物还会刺激牙龈,导致牙龈红肿、出血,进一步加重牙周组织损伤,甚至可能引发龋齿。
- 针对牙齿黑三角,治疗方法需根据具体情况而定。轻度黑三角可通过牙周治疗,如洗牙、龈下刮治,消除炎症,控制牙龈萎缩。对于因牙齿形态或排列问题导致的黑三角,可采用正畸治疗调整牙齿位置,或通过树脂充填、瓷贴面等修复方式改善外观。严重的牙龈萎缩,还可考虑进行牙龈移植手术。
预防牙齿黑三角,关键在于维护牙周健康。保持良好的口腔卫生习惯,使用巴氏刷牙法配合牙线清洁牙齿,避免食物残渣堆积。避免过度用力刷牙,选择软毛牙刷。合理饮食,减少对牙齿的磨损,发现牙齿异常及时就医。
牙齿黑三角的检查项目
1、口腔视诊:医生直接观察牙龈形态、色泽,判断牙龈是否萎缩,黑三角位置、大小及累及牙齿数量,初步评估病情。
2、牙周探诊:用牙周探针测量牙周袋深度,探查牙槽骨吸收情况,明确牙龈萎缩程度与牙周炎严重程度。
3、X光检查:拍摄口腔X光片,了解牙槽骨高度、密度及牙根形态,辅助判断黑三角是否因牙槽骨吸收导致。
4、咬合检查:检查牙齿咬合关系,判断是否存在咬合创伤,分析黑三角形成是否与异常咬合力相关。

