牙根尖炎的快速消炎方法包括药物治疗、开放引流、根管治疗、根尖手术、以及牙齿拔除等。患者应根据病情选择合适的治疗方法,并在专业医生的指导下进行治疗,加速康复。

1、药物治疗:对于牙根尖炎初发、症状较轻的患者,建议遵医嘱使用抗生素类药物,能有效杀灭口腔内的细菌,减轻炎症,也可遵医嘱使用止痛药,缓解患者的疼痛不适。但药物治疗虽能暂时缓解症状,但无法从根本上解决问题。
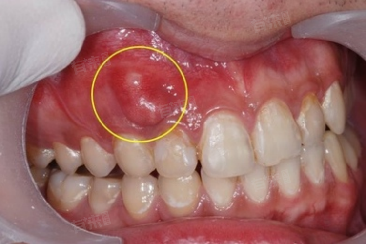
2、开放引流:当牙根尖炎处于急性期,患者往往疼痛难忍,开放引流成为快速缓解疼痛的有效手段。牙医会打开牙髓腔,将脓液和渗出液引流出来,以减轻根尖部的压力,能够迅速缓解患者的疼痛,为后续治疗创造有利条件。
3、根管治疗:根管治疗是治疗牙根尖炎的主要方法,牙医会彻底清除牙髓腔和根管内的感染物质,然后进行根管预备、消毒和充填,以防止细菌再次侵入。根管治疗能够根治感染,保留患牙,恢复牙齿的功能和美观。
4、根尖手术:当根管治疗无法完全清除根尖区域的感染,或者存在根尖囊肿等并发症时,建议遵医采取根尖手术的方法。根尖手术包括根尖切除术、根尖刮治术等,通过切除受感染的根尖组织,清除根尖周围的感染物质,然后填充并密封根尖部分。
5、牙齿拔除:当患牙根尖炎严重到无法保留时,建议在专业医生的操作下进行牙齿拔除治疗,通常发生在乳牙替换期、牙齿已无治疗价值或患者身体状况不允许进行复杂治疗的情况下。牙齿拔除后,患者需接受进一步的修复治疗,如种植牙、烤瓷牙等,以恢复口腔功能和美观。
在治疗过程中,患者应保持口腔卫生,定期复诊,以便医生及时调整治疗方案,患者还应遵医嘱按时服药,避免自行停药或更改治疗方案,若出现任何不适或病情加重,应及时就医咨询。
如何避免牙根尖炎
- 保持口腔卫生是预防牙根尖炎的主要方法,患者应定期刷牙、使用牙线、漱口水等清洁工具,彻底清除口腔内的食物残渣和细,但应避免使用过硬或过软的牙刷,以免损伤牙齿和牙龈。口腔疾病如龋齿、牙周病等是引发牙根尖炎的常见原因,患者应定期检查口腔健康状况,如果发现口腔疾病,应及时就医治疗,避免病情恶化。
- 在生活中,患者应尽量避免吸烟、饮酒、熬夜等不良习惯,保持健康的生活方式,有助于预防牙根尖炎的发生。患者还应均衡的饮食和适当的运动,以增强免疫力,提高身体抵抗力,预防牙根尖炎等口腔疾病的发生,维护口腔健康和身体健康。

