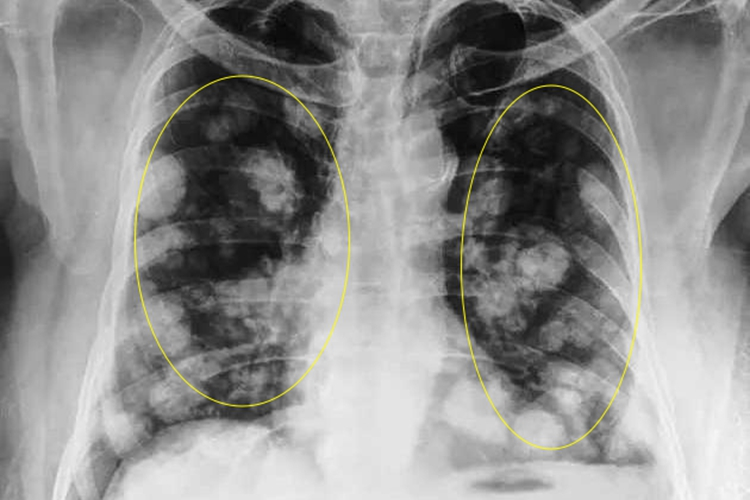
双肺下叶结节灶是指在双侧肺部下叶部位发现的结节样病灶。肺部结节灶是影像学检查(如胸部X线、CT等)中的一种表现。

- 当肺部组织在受到各种致病因素的影响下,如细菌、病毒、支原体等病原体感染,长期吸烟、空气污染、职业暴露于粉尘、石棉等有害物质,自身免疫性疾病、良性肿瘤,或者恶性肿瘤的早期等,局部组织会发生异常增生、炎症反应、纤维化、钙化等改变,在影像学上就会表现为结节灶。
- 对于双肺下叶结节灶,需要结合结节的大小、形态、密度、边缘特征以及患者的临床症状、病史等多方面因素来综合判断其性质。如果结节较小(一般<8mm),边界清晰、形态规则、密度均匀,多为良性结节,可能是由于既往肺部感染痊愈后留下的瘢痕组织,或者是肺部的淋巴结、良性肿瘤(如错构瘤、硬化性血管瘤等)。
- 如果结节较大(>8mm),形态不规则、边缘有分叶、毛刺,内部密度不均匀,或者伴有空泡征、血管集束征等表现,则恶性结节的可能性就会增加,可能是原发性肺癌,也可能是其他部位的恶性肿瘤转移到肺部所致。
- 此外,如果患者同时有咳嗽、咳痰、咯血、胸痛、发热、消瘦、乏力等症状,或者有长期大量吸烟史、肺癌家族史、慢性肺部疾病史等高危因素,也提示结节的恶性风险较高。
为了进一步明确结节的性质,可能需要进行更多的检查,如增强CT、PET-CT、肿瘤标志物检测、支气管镜检查、经皮肺穿刺活检等。如果经过综合评估后判断结节为良性,一般只需定期复查,观察结节的变化情况;如果怀疑为恶性结节,则需要及时采取手术、放疗、化疗、靶向治疗等治疗措施。

