牙齿表面正常情况下应呈现出有光泽的淡黄色,若出现白色的一层,通常是由多种因素干扰了牙齿的正常状态所导致,上述因素涵盖了日常习惯、口腔卫生状况以及一些口腔疾病等。

1、牙菌斑:牙菌斑是一种细菌性生物膜,由细菌、食物残渣、唾液中的蛋白质等物质混合而成。在进食后,口腔内的细菌会迅速分解食物中的糖分,产生酸性物质并附着在牙齿表面,逐渐形成一层白色的、黏性的薄膜。若不及时清理,牙菌斑会持续堆积,进而引发其他口腔问题。
2、软垢:软垢主要由食物残渣、脱落的口腔上皮细胞、细菌等组成,质地松软,容易附着在牙齿表面和牙龈边缘。日常进食后,若没有及时清洁口腔,食物残渣就会在口腔内停留,与口腔内的细菌和其他物质混合,形成白色的软垢。它不仅影响牙齿美观,还会为细菌滋生提供温床。
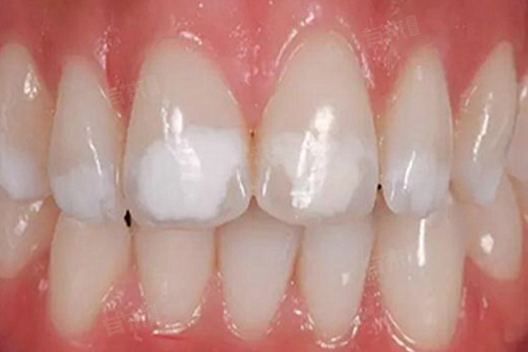
3、氟斑牙:在牙齿发育矿化期,若长期摄入过量的氟,就会导致氟斑牙。氟会影响牙釉质的正常发育,使其矿化异常,在牙齿表面形成白色不透明的斑块。这种情况多发生在恒牙,严重程度与氟的摄入量和持续时间有关。比如生活在高氟地区,或长期使用含氟量超标的饮用水,就容易出现氟斑牙。
4、龋齿早期:龋齿是由于细菌分解食物中的糖分产生酸性物质,逐渐腐蚀牙齿导致的。在龋齿早期,牙齿表面的牙釉质脱矿,会出现白色的斑点。此时病变较浅,患者可能无明显症状,但随着时间推移,龋洞会逐渐加深,引发疼痛等不适。
5、釉质发育不全:在牙齿发育期间,若受到营养缺乏、感染、局部外伤等因素影响,牙釉质的形成和矿化过程就会受到干扰,导致釉质发育不全。牙齿表面会出现白色斑块,严重时牙釉质会出现实质性缺损,使牙齿更易受到外界刺激和细菌侵蚀。
牙齿上出现白色的一层,可能是由简单的口腔卫生问题,到较为复杂的口腔疾病等多种原因引起。了解上述原因,有助于及时察觉口腔异常,采取相应措施维护口腔健康。
牙齿上有白的一层应该做什么检查
- 口腔视诊:医生通过肉眼直接观察牙齿表面白色物质的形态、范围、质地等特征。例如,观察白色斑块是否光滑,是局限在个别牙齿还是多颗牙齿,以此初步判断可能的原因。若白色物质质地松软,可能是软垢;若呈白色斑块且边界清晰,可能是氟斑牙或釉质发育不全。
- 探诊:使用牙科探针轻轻触碰白色物质及周围牙齿组织。通过探诊可以了解白色物质的附着情况,以及牙齿表面是否有缺损、龋洞等。若探针能轻易插入白色区域下方,可能提示龋齿早期的牙釉质脱矿。
- 菌斑染色检查:将菌斑染色剂涂抹在牙齿表面,片刻后漱口。染色剂会使牙菌斑染上颜色,从而清晰显示牙菌斑的分布和厚度,帮助医生判断白色物质是否为牙菌斑,以及口腔卫生清洁状况。

