排除干槽症的时间范围因个体差异而异,但一般来说,在拔牙后的5天以上如果没有明显症状,可以初步排除干槽症。但是为了确保准确性,建议观察至拔牙后的10-15天。如果在此期间出现干槽症的症状,应及时就医治疗。

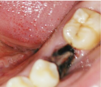
- 干槽症一般发生在拔牙后的3-4天,这是由拔牙创口的感染或血块形成不良导致的。患者可能会出现拔牙部位的剧烈疼痛,这种疼痛可能放射到同侧的头面部。同时口腔内可能出现臭味,拔牙窝内可能呈现黑色或暗灰色的物质。
- 在拔牙后的5天以上,如果局部伤口没有明显的疼痛症状,可以初步排除干槽症的可能性。为了确保准确性,一些资料建议观察至拔牙后的10-15天,如果此期间没有出现干槽症的症状,则可以彻底排除。
- 一旦确诊为干槽症,需要在医生的指导下进行局部清创治疗,包括刮除腐败的肉芽组织、使用双氧水和生理盐水冲洗拔牙窝,并放置碘仿纱条等。治疗周期通常需要2-4周。
- 干槽症是拔牙后可能出现的一种较为棘手的情况,要选择正规、专业的医疗机构拔牙,经验丰富的医生操作更为规范,能尽量减小拔牙创口,减少创伤,降低干槽症发生几率。为了预防干槽症的发生,拔牙后应注意口腔卫生,避免用患侧咀嚼食物,拔牙24小时内不要刷牙和漱口,以免血凝块脱落。
干槽症是拔牙后常见的一种并发症,关于几天能彻底排除干槽症的问题,不同情况有时间范围差异。患者可以前往医院口腔科就诊,明确诊断后,在医生指导下进行针对性治疗。
干槽症的危害
1、引发剧烈疼痛:导致的疼痛程度往往较重,是一种持续性的、放射性的疼痛,可从拔牙创口处向耳颞部、下颌区等部位放射,让患者十分痛苦,严重影响正常生活与休息。
2、影响创口愈合:干槽症会破坏拔牙后形成的血凝块,使创口失去保护,容易遭受细菌感染,进而延缓创口正常的愈合进程,原本可能一周左右初步愈合的创口,可能会拖延数周甚至更久才能恢复。
3、可能引发其他并发症:长期不愈的创口,炎症有可能扩散,累及周围的组织、器官,比如引发颌面部间隙感染等,增加后续治疗的复杂性与难度,对患者的口腔健康造成更大的威胁。

