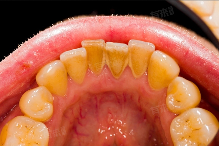
去除牙斑可通过日常口腔清洁与专业手段相结合,日常正确刷牙、使用牙线等能预防和清除初期牙斑,定期洗牙等专业操作可应对顽固牙斑。掌握这些方法,坚持执行,对维护口腔健康、去除牙斑效果显著,但是并无最有效的处理方式。

1、正确刷牙:刷牙是去除牙斑基础且重要的方法,选择软毛牙刷,采用巴氏刷牙法,将牙刷与牙齿呈45度角,使刷毛深入牙龈沟,水平震颤,每次刷牙时间不少于3分钟,确保牙齿每个面都被清洁到。早晚各刷一次,能有效清除牙齿表面和牙龈边缘刚形成的牙斑,防止其堆积硬化。
2、使用牙线:牙线能清洁牙刷难以触及的牙齿缝隙,取一段约20-30厘米长的牙线,将其缠绕在双手食指上,用拇指和食指引导,轻轻将牙线滑入牙缝,紧贴牙齿邻面上下刮动,清除缝隙间的食物残渣和牙斑。每天使用牙线,可预防牙斑在牙缝处积聚,降低龋齿和牙周炎风险。
3、使用漱口水:饭后或不方便刷牙时,含漱漱口水能辅助清洁口腔。漱口水含杀菌成分,能抑制口腔细菌滋生,减少牙斑形成。含漱时,将适量漱口水在口腔内鼓动,使漱口水接触牙齿各个面,保持30秒至1分钟后吐出。但漱口水不能替代刷牙和使用牙线,只是辅助清洁手段。
4、定期洗牙:洗牙是专业去除牙斑和牙结石的方法,通过超声波洗牙设备,利用高频振动去除牙齿表面和牙龈下的牙斑、牙结石。建议每年或每半年洗牙一次,可有效清除刷牙等日常清洁无法去除的顽固牙斑,维护牙龈健康,预防牙周疾病。洗牙后,牙齿更易清洁,能减少牙斑再次堆积速度。
牙斑去除需长期坚持多种方法,日常做好口腔清洁,定期接受专业洗牙,养成良好饮食习惯,对保持口腔清洁、去除牙斑、预防口腔疾病较为重要。
如何预防产生牙斑
- 合理选择食物:多吃富含纤维的蔬果,如芹菜、苹果等。纤维如同天然牙刷,在咀嚼过程中可清洁牙齿表面,减少食物残渣附着。同时,它们能刺激唾液分泌,唾液有清洁和缓冲口腔酸碱度的作用。减少高糖、黏性食物摄入,这类食物易黏附在牙齿上,被细菌分解利用,产生酸性物质,腐蚀牙齿并促进牙斑形成。
- 注意进食方式:避免频繁进食零食,特别是在两餐之间。多次进食会持续为口腔细菌提供养分,增加牙斑形成几率。进食后不要立刻躺下,应适当活动,促进口腔内食物残渣排出。细嚼慢咽不仅有助于消化,还能使唾液充分混合食物,降低食物对牙齿的不良影响。
- 控制饮料摄入:减少含糖饮料饮用,如可乐、果汁饮料等。这些饮料中的糖分易被口腔细菌代谢,产生酸性物质,侵蚀牙釉质,利于牙斑生长。多喝白开水,既能补充水分,又能冲刷口腔,保持口腔清洁。若饮用咖啡、茶等有色饮料,可在饮用后及时漱口,减少色素和酸性物质在牙齿表面残留。

