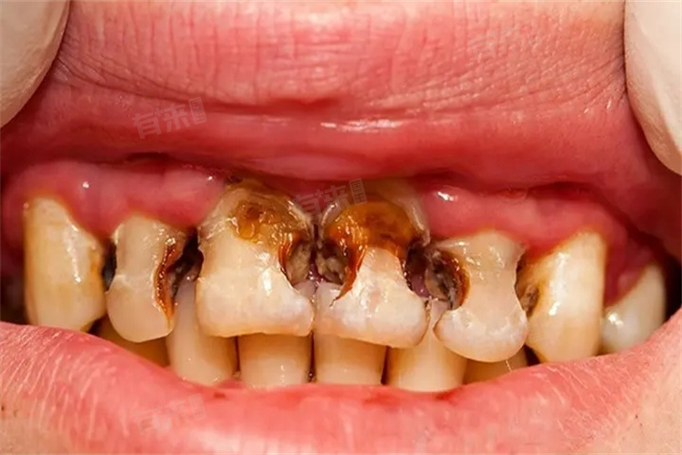
可乐牙齿主要表现为牙齿表面矿物质流失、牙釉质受损,甚至引发龋齿和牙齿敏感,需采取初期护理、脱敏治疗、龋齿治疗、牙冠修复及拔除种植等科学有效的治疗与护理方法,恢复牙齿健康。

1、初期护理
在可乐牙齿的初期,主要表现为牙齿表面光泽度降低,对冷热酸甜刺激敏感。建议减少碳酸饮料的摄入,选择白开水或淡茶作为日常饮品,使用含氟牙膏刷牙,有助于促进牙釉质的再矿化,增强牙齿抵抗力。
2、脱敏治疗
随着病情发展,牙齿敏感症状可能加剧。建议采用脱敏牙膏或到医院进行专业的脱敏治疗,脱敏牙膏中的有效成分能封闭牙本质小管,减少外界刺激对牙髓的传导,从而缓解敏感症状。
3、龋齿治疗
若可乐牙齿已发展为龋齿,即牙齿表面出现明显的龋洞,则需根据龋坏程度进行相应治疗。对于浅龋,可直接去除腐质后进行充填,对于中龋或深龋,可能需要在专业医生的操作下进行根管治疗,以彻底清除感染物质并封闭根管,防止病情进一步扩散。
4、牙冠修复
当牙齿龋坏严重,导致牙体组织大面积缺失时,单纯的充填治疗已无法满足需求。建议就医进行牙冠修复,即利用人工材料制作牙冠覆盖在缺损的牙齿上,以恢复牙齿的形态和功能。
5、拔除种植
在极少数情况下,若牙齿因龋坏过于严重而无法保留,则需拔除患牙。为避免邻牙移位和咀嚼功能下降,可考虑在拔除后进行种植牙修复,种植牙能够模拟自然牙齿的结构和功能,为患者提供接近真牙的使用体验。
在生活中需健康饮食,多摄入富含钙质的食物,选择对牙齿友好的饮品,注意口腔卫生,定期刷牙,使用含氟牙膏,促进牙釉质再矿化,如有牙齿敏感或龋齿症状,应及时就医,避免病情恶化。

