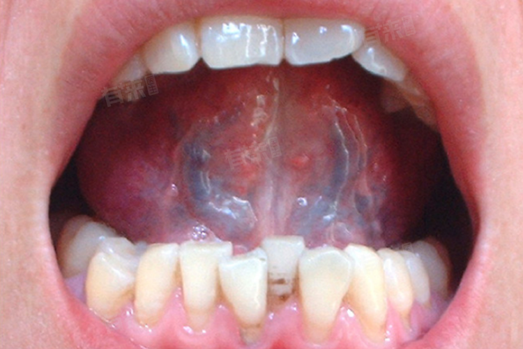
舌下静脉出现又黑又粗的现象可能由多种原因引起,常见的原因主要包括遗传性色素沉着、慢性唇炎或舌炎等。

1、遗传性色素沉着:某些人由于遗传因素影响,可能会在舌头底部显现较为明显的静脉血管,并伴有较深的颜色,这种现象通常无害,属于个体差异的一部分,随着年龄增长,血管的可见度可能会有所增加,但并不意味着存在健康问题。
2、慢性唇炎或舌炎:长期存在的炎症状态可能导致局部血液循环改变,进而使得舌下静脉显得更为突出和颜色加深,例如,在慢性非特异性唇炎中,除了嘴唇干燥、脱屑外,还可能出现舌部不适,间接导致舌下静脉的变化。
3、口腔扁平苔藓:是一种常见的口腔黏膜慢性疾病,特征为白色条纹或斑块,有时伴有红斑或溃疡。虽然主要症状出现在颊黏膜上,但它也可能累及舌部,导致舌下静脉扩张和颜色变暗,这是因为炎症反应影响了局部血流。
4、白斑病:表现为口腔黏膜上的白色斑块,而且由于细胞代谢异常,会影响局部微循环,造成舌下静脉扩张和色泽加深,这类病变需密切监测以防恶化成癌症。
5、维生素缺乏症:特别是B族维生素缺乏时,可引发舌炎和其他口腔症状,影响到舌头的正常结构和功能,导致舌下静脉变得明显且颜色加深。营养不良引起的此类变化往往伴随其他系统性症状。
此外,唾液腺疾病如舍格伦综合征,这是一种自身免疫性疾病,主要损害泪腺和唾液腺,减少唾液分泌量,导致口干症。口干状态下,舌头表面容易受损,继发感染或炎症,从而引起舌下静脉的异常表现。
舌下静脉又黑又粗的注意事项
- 观察是否有伴随其他症状出现,如疼痛、肿胀或舌头运动受限等,这些可能是潜在健康问题的信号,持续关注这种变化是否有所发展,如果颜色加深或者血管变得更加突出,建议及时就医进行专业评估。此外,保持良好的口腔卫生习惯至关重要,定期刷牙并使用牙线清洁牙齿间隙,可以减少细菌滋生,预防可能引发的症状恶化。
- 避免吸烟和过量饮酒,因为这些习惯可能会加重舌下静脉的负担,并可能导致更严重的健康问题。同时,维持均衡饮食,确保摄入充足的维生素和矿物质,有助于改善整体健康状况,并支持身体自我修复机制。
- 对于任何不寻常的变化,尤其是那些持续存在或加剧的情况,寻求医生的专业意见总是最安全的做法,以排除严重疾病的可能性并获得适当的指导。

