上牙膛出现小疙瘩是一种口腔现象,其背后的成因较为复杂,涉及多个方面,具体包括过烫食物刺激、食物过敏、口腔溃疡、口腔疱疹等。

1、过烫食物刺激:经常食用温度过高的食物,如刚出锅的热汤、热茶、热粥等,会对上牙膛黏膜造成烫伤。黏膜在受到烫伤后,会出现应激反应,局部组织会发生肿胀、增生,形成小疙瘩。这种因烫伤引起的小疙瘩,一般在避免食用过烫食物后,经过一段时间的自我修复,会逐渐消退。
2、食物过敏:食用某些易过敏食物,如海鲜、芒果、牛奶等,可能引发过敏反应。过敏时,身体的免疫系统会被激活,释放组胺等炎性介质,导致上牙膛黏膜出现水肿、充血,形成小疙瘩。同时,患者可能还会伴有皮肤瘙痒、皮疹、呼吸道症状等,严重时可能影响呼吸和吞咽。
3、口腔溃疡:上牙膛处的黏膜如果受到损伤,如被尖锐食物划伤、刷牙时用力过猛等,就容易引发口腔溃疡。初期,溃疡部位会出现红肿,随着病情发展,会形成小疙瘩状的溃疡面,周围黏膜充血,触碰时会有明显疼痛感。口腔溃疡通常具有自限性,但在发作期间会给患者带来不适,影响正常饮食和口腔功能。
4、口腔疱疹:由单纯疱疹病毒感染引起的口腔疱疹,也可能导致上牙膛出现小疙瘩。病毒入侵口腔黏膜后,会在局部大量繁殖,引发炎症反应,使黏膜出现成簇的小水疱,这些水疱看起来就像小疙瘩。水疱容易破裂,形成浅表溃疡,伴有疼痛、灼热感,还可能出现发热、乏力等全身症状。
5、牙周炎:当牙周组织发生炎症时,炎症可能会扩散至上牙膛部位。长期的牙结石、牙菌斑堆积,会刺激牙龈,引发牙周炎。炎症严重时,会导致牙槽骨吸收、牙龈退缩,炎症介质的扩散还可能引起上牙膛黏膜下组织的炎性增生,形成小疙瘩。患者除了上牙膛有小疙瘩外,还可能伴有牙龈出血、口臭、牙齿松动等症状。
另外,还可能是手足口病。此类情况多发生于儿童,由肠道病毒引起。除了手、足、口腔等部位出现疱疹外,上牙膛也可能出现小疙瘩。这些小疙瘩起初为红色丘疹,随后会发展为水疱,周围有红晕,患者还可能伴有发热、咳嗽、流涕、食欲不振等症状。手足口病具有一定的传染性,需要及时隔离治疗。
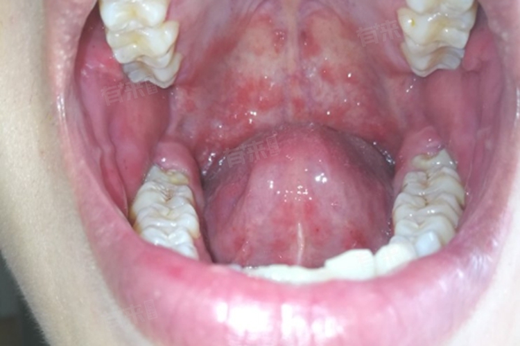
上牙膛有小疙瘩需要完善的检查
- 医生通过肉眼直接观察上牙膛小疙瘩的形态、大小、颜色、数量、分布情况等。查看小疙瘩是水疱、丘疹还是溃疡,表面是否光滑,周围黏膜是否有充血、水肿等,初步判断小疙瘩的性质。
- 也会使用口腔探针轻轻触碰小疙瘩,了解其质地、硬度、活动度以及是否有压痛。如果小疙瘩质地较硬,且有压痛,可能提示存在炎症或其他病变。同时,通过探诊还可以检查周围牙齿、牙龈的情况,判断是否存在牙周疾病等。
- 还会通过检测血常规中的白细胞计数、中性粒细胞比例、淋巴细胞比例等指标,可以了解患者是否存在感染以及感染的类型。

