下门牙酸痛可能是牙本质敏感、龋齿、楔状缺损、牙周炎等原因引起的,下门牙酸痛是指下颌前牙区域出现的酸麻、疼痛等不适感觉,这种症状在受到冷热刺激、酸甜食物刺激,或进行咀嚼、刷牙等机械性刺激时更为明显,严重时可影响正常饮食和口腔健康。

1、牙本质敏感:牙齿表面的牙釉质因长期磨损、酸蚀、外伤等原因受损,牙本质暴露。牙本质小管直接与外界相通,当受到冷热、酸甜、机械刺激时,刺激会通过牙本质小管传导至牙髓神经,引发短暂而尖锐的酸痛感。常见于有磨牙习惯、经常食用酸性食物或饮料,以及牙龈退缩导致牙根暴露的人群。
2、龋齿:口腔中的细菌分解食物残渣产生酸性物质,侵蚀牙釉质和牙本质,形成龋洞。当下门牙发生龋齿且龋洞较深接近牙髓时,外界刺激会通过龋洞传导至牙髓,引起酸痛。初期可能仅在进食冷热、酸甜食物时有短暂不适,随着病情发展,疼痛发作频率和程度会增加,若不及时治疗,细菌进一步感染可引发牙髓炎。
3、楔状缺损:不正确的刷牙方法如长期使用硬毛牙刷横向刷牙,会导致牙颈部的牙体组织逐渐磨损,形成楔形的缺损。楔状缺损达到一定深度时,牙本质暴露,遇到刺激就会出现酸痛症状。缺损较深时,还可能引起牙髓炎,疼痛更加剧烈且持续时间更长。
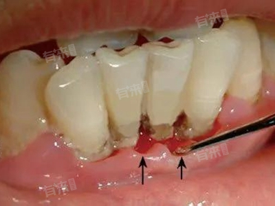
4、牙周炎:牙菌斑、牙结石等长期堆积在牙齿表面和牙周组织,引发牙周支持组织的慢性炎症。随着病情进展,牙龈退缩,牙槽骨吸收,牙根逐渐暴露,牙齿的支持组织减少,导致牙齿敏感,出现下门牙酸痛,同时患者还可能伴有牙龈出血、牙齿松动等症状。
牙齿表面出现细小的裂纹,早期裂纹较浅时可能无明显症状,或仅在咀嚼硬物时有轻微不适。随着裂纹逐渐加深,累及牙本质甚至牙髓,遇到冷热刺激或咀嚼时就会产生酸痛感。牙隐裂常发生于牙齿的咬合面,尤其有咬硬物习惯或牙齿发育异常的人群更容易出现。
下门牙酸痛的注意事项
- 采用巴氏刷牙法,将牙刷与牙长轴呈45度角指向根尖方向,使刷毛一部分进入龈沟,一部分铺于龈缘上,轻柔地进行短距离水平颤动,每次刷牙时间不少于3分钟,早晚各一次。选择软毛牙刷,避免使用硬毛牙刷对牙齿和牙龈造成损伤。
- 改掉咬硬物、用牙齿开瓶盖、单侧咀嚼等不良习惯,防止牙齿损伤。同时,避免过度饮酒和吸烟,这些不良习惯会影响口腔健康,加重牙齿问题。若下门牙酸痛症状持续不缓解,或伴有牙齿松动、出血、肿胀等症状,应及时前往口腔科就诊。医生通过详细询问病史、口腔检查,必要时结合X线检查等,明确病因并制定个性化治疗方案。

