牙龈是口腔黏膜覆盖在牙槽突表面和牙颈部周围的部分,其健康状态直接关系到口腔整体健康。当牙龈上出现白色点点时,可能由鹅口疮、口腔溃疡前期等原因引起,需根据原因治疗。

1、鹅口疮:
- 这是一种由白色念珠菌感染引起的口腔疾病,多见于婴幼儿、老年人或免疫力低下人群。白色点点通常表现为散在的、像奶块一样的斑膜,可融合成片,不易拭去,强行剥离后局部黏膜潮红、粗糙,可有溢血。治疗时,需保持口腔清洁,可使用弱碱性溶液如小苏打水清洁口腔,改变口腔内的酸碱度,抑制白色念珠菌生长。同时,要注意餐具、奶嘴等的清洁消毒,避免再次感染。若病情较重,可能需要就医,由医生根据具体情况进行进一步处理。
2、口腔溃疡前期:
- 在口腔溃疡发作前期,牙龈上可能先出现白色小点,随后逐渐发展为圆形或椭圆形的溃疡面,伴有疼痛。对于这种情况,首要的是保持口腔卫生,避免刺激性食物,防止溃疡加重。可以多吃富含维生素的蔬菜水果,有助于促进溃疡愈合。若疼痛明显影响进食等日常生活,可使用具有止痛、促进愈合作用的口腔贴膜或漱口水等辅助缓解症状。
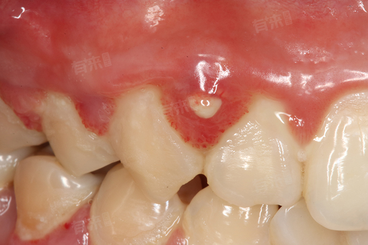
3、根尖周炎的瘘管表现:
- 当牙齿发生根尖周炎,炎症未得到及时控制,就可能在牙龈上形成瘘管,表现为白色小点。挤压时可能有脓液流出。这种情况需要对患牙进行根管治疗,医生通过清除根管内的感染物质,进行消毒、充填,消除根尖炎症,从根源上解决问题,随着炎症消退,牙龈上的白色点点及瘘管也会逐渐消失。
4、牙龈结石钙化点:
- 长期口腔卫生不良,牙菌斑、软垢等逐渐矿化形成牙结石,在牙龈边缘可能出现白色的钙化点。治疗主要依靠洗牙,通过专业的洗牙设备,去除牙齿表面及牙龈边缘的牙结石、牙菌斑,维护牙龈健康。洗牙后,患者要注意保持良好的口腔卫生习惯,每天早晚正确刷牙,使用牙线等辅助清洁工具,预防牙结石再次形成。
牙龈上出现白色点点不可轻视,应及时前往医院口腔科就诊,通过详细检查明确病因,进而接受针对性治疗,以确保口腔健康。
牙龈上有白色点点做什么检查
- 如果牙龈上有白色点点,建议尽快就医进行以下检查以明确病因。首先,医生会进行口腔检查,包括视诊、探诊和触诊,观察白色点点的形态、大小、位置以及是否有压痛或红肿。通过这些检查,可以初步判断是口腔溃疡、牙龈炎还是其他病变。
- 影像学检查如X光或CT扫描可能需要进行,以排除牙根感染、牙周炎或牙龈囊肿等潜在问题。此外,如果怀疑是真菌感染(如白色念珠菌感染),可能需要进行口腔涂片检查。

