脚大拇指骨折是足部常见的骨折类型之一,其愈合时间因个体差异、骨折类型及治疗方法的不同而有所变化。一般而言,脚大拇指骨折的愈合时间在2-3个月,但具体还需考虑年龄、骨折类型等因素。

1.年龄:年龄是影响骨折愈合速度的重要因素。儿童和青少年由于骨骼生长活跃,新陈代谢旺盛,骨折愈合通常较快,可能在2个月左右就能达到临床愈合。而老年人由于骨骼再生能力减弱,骨折愈合速度相对较慢,可能需要3个月甚至更长时间。
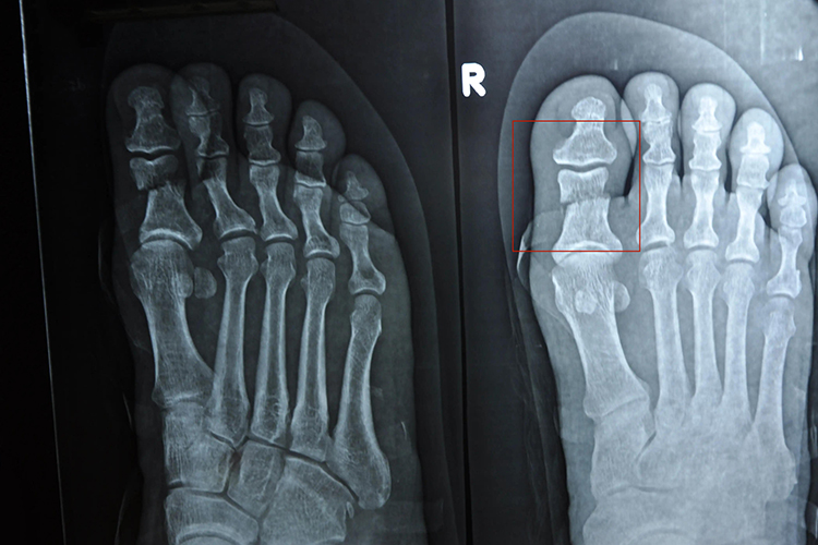
2.骨折类型:骨折的严重程度和类型直接影响愈合时间。单纯性骨折(如裂纹骨折)通常愈合较快,而粉碎性骨折或伴有明显移位的骨折则愈合较慢。粉碎性骨折由于骨折断端多,血液供应差,愈合过程更为复杂,可能需要更长的时间。
3.治疗方法:正确的治疗方法对骨折愈合至关重要。保守治疗如石膏固定适用于无明显移位的骨折,通过固定减少骨折断端的活动,促进骨折愈合。手术治疗则适用于复杂骨折或保守治疗无效的骨折,通过切开复位内固定等方式恢复骨折解剖结构,促进骨折愈合。不同的治疗方法对骨折愈合时间也有一定影响。
4.个体差异:每个人的身体状况和恢复能力不同,因此骨折愈合时间也存在个体差异。一些患者可能因营养不良、骨质疏松等因素导致骨折愈合速度减慢。
针对脚大拇指骨折,治疗原则主要包括复位、固定和功能锻炼。复位是将骨折断端恢复到正常位置,固定则是保持骨折断端的稳定状态,为骨折愈合创造有利条件。功能锻炼则是在骨折愈合过程中逐步进行关节和肌肉的活动训练,以恢复足部功能。
在骨折愈合过程中,患者应遵循医生的指导进行定期复查和康复训练。定期复查可以及时了解骨折愈合情况并调整治疗方案;康复训练则有助于促进关节功能的恢复和减少并发症的发生。

