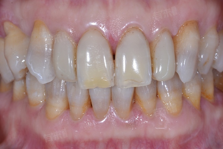
牙齿一半白一半黄的原因多样,包括色素沉着、牙釉质发育不良、牙结石、氟斑牙以及牙齿磨损等,建议及时就医并在专业医生的指导下进行诊断和治疗。

1、色素沉着:由于长期吸烟、饮用浓茶或咖啡等色素丰富的饮品会导致色素会沉积在牙齿表面,形成不均匀的色斑,导致牙齿部分区域发黄。
2、牙釉质发育不良:牙釉质是牙齿最外层的硬组织,其发育受多种因素影响,包括遗传、营养状况及外部环境等。牙釉质发育不良会导致牙齿表面不平整,色泽不均,可能出现一半白一半黄的现象。
3、牙结石:牙结石是牙菌斑矿化后形成的坚硬物质,多附着于牙齿表面及牙缝中,不仅影响牙齿美观,还可能刺激牙龈,引发炎症。
4、氟斑牙:氟斑牙是由于长期摄入过量氟化物而导致的牙齿病变。在高氟地区,饮用水或食物中氟含量过高,长期饮用会导致牙齿表面出现黄白色斑块或条纹。
5、牙齿磨损:牙齿长期受到磨损或遭受外伤后,也可能出现色泽不均的现象。磨损多由于不良咬合习惯或过度使用牙齿所致,露出内层的牙本质,使牙齿颜色变深。
为保持牙齿色泽均匀,建议保持良好的口腔卫生习惯,定期刷牙、使用牙线及漱口水,减少吸烟、饮用浓茶或咖啡等色素丰富的饮品,定期进行口腔检查,及时发现并治疗口腔问题,对于已形成的牙结石或氟斑牙等病变,应遵医嘱进行专业治疗。

