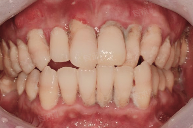
牙结石不可以不管,牙结石是由食物残渣、细菌、唾液中的矿物质等在牙齿表面逐渐沉积钙化形成,看似不起眼,实则危害巨大,若不及时处理,会对口腔健康造成一系列严重影响,如危害牙龈等。

1、危害牙龈:牙结石粗糙的表面会持续刺激牙龈,使牙龈处于炎症状态。初期表现为牙龈红肿,刷牙或咬硬物时容易出血。若任由牙结石存在,炎症会不断加重,导致牙龈萎缩,一旦牙龈萎缩,很难恢复到原来状态,严重影响牙齿的稳固性。
2、影响牙周组织:牙结石长期堆积在牙周,会引发牙周炎。牙周组织遭到破坏,牙槽骨逐渐吸收,牙周袋形成。随着病情发展,牙齿会逐渐松动移位,甚至脱落。牙周炎发展到晚期,治疗难度极大,所以发现牙结石应及时处理,预防牙周炎发生。
3、引发口腔异味:牙结石上附着大量细菌,这些细菌不断分解食物残渣,产生有异味的气体,导致口腔异味严重。口腔异味不仅影响个人社交,还可能给心理带来负面影响。清除牙结石,能有效减少细菌滋生,改善口腔异味问题。
4、导致牙齿松动:随着牙结石的持续积累和牙周组织的破坏,牙齿的支持结构逐渐减弱,牙齿失去足够支撑,就会开始松动。牙齿松动不仅影响咀嚼功能,还会进一步加重牙周组织负担,形成恶性循环,因此必须重视牙结石问题,避免牙齿松动。
5、影响牙髓健康:严重的牙结石和牙周炎会使炎症向牙髓扩散,引发牙髓炎。牙髓炎会导致剧烈牙痛,疼痛难忍,影响日常生活和睡眠。若不及时治疗,牙髓可能坏死,最终只能通过根管治疗等复杂手段来挽救牙齿,所以不能对牙结石放任不管。
发现牙结石后,应尽快前往正规口腔医疗机构进行处理。日常生活中要养成正确刷牙的习惯,每天早晚各刷牙一次,每次刷牙时间不少于3分钟,选择合适的牙刷和牙膏。定期进行口腔检查,至少每年一次,以便及时发现和处理口腔问题,维护口腔健康。
牙结石如何治疗
- 龈上洁治:工作头以高频振动,将附着在牙齿表面的牙结石震碎,喷出的水雾会冲走碎屑。这种方式能快速去除肉眼可见的大块牙结石,操作过程相对便捷,可有效清洁牙齿表面,改善口腔卫生状况。
- 龈下刮治:若牙结石已蔓延至牙龈下方,需进行龈下刮治。医生借助特制的手动刮治器械,深入牙龈袋,仔细刮除牙根表面的牙结石和牙菌斑,还能平整牙根,消除细菌滋生的温床,阻止牙周组织进一步被破坏,助力牙周健康恢复。
- 喷砂洁治:喷砂洁治是将特制的砂粉与水混合,通过喷枪高速喷向牙齿表面。这些细微砂粒能去除牙齿表面的色素、软垢和残留的细小牙结石,让牙齿更加光洁,尤其适用于清洁牙齿邻面和窝沟处,进一步提升洁治效果,使口腔清洁更彻底。

