牙龈发炎通常表现为牙龈红肿、出血、疼痛等。一旦出现这些症状,建议及时前往正规口腔医疗机构就诊,以免炎症加重,影响口腔健康。

1、牙龈颜色改变:健康的牙龈呈粉红色,而发炎时,牙龈颜色会变为鲜红或暗红色。这是因为炎症导致牙龈内的血管扩张,血液流量增加,使得牙龈颜色明显加深,在刷牙或照镜子时就能轻易察觉。
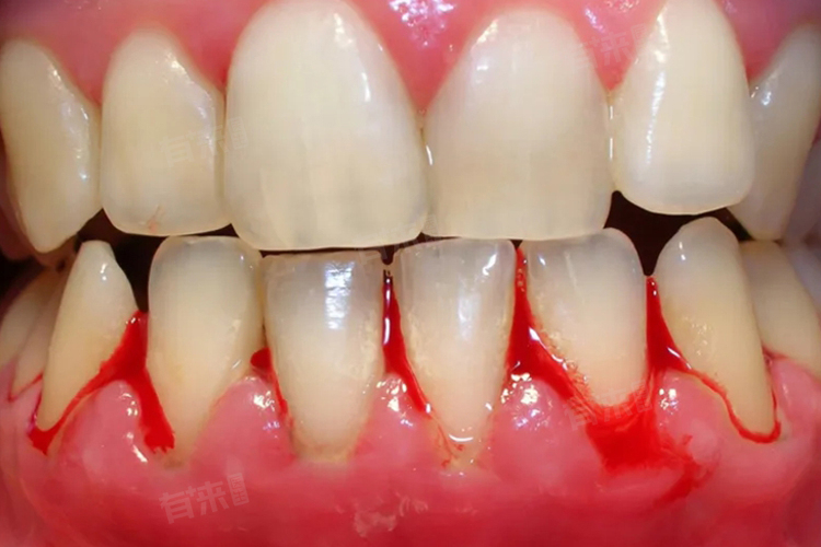
2、牙龈出血:这是牙龈发炎最常见的症状之一,患者在刷牙、咬硬物,如苹果、馒头时,牙龈容易出血,有时甚至在没有明显刺激的情况下也会自发性出血。出血量一般较少,可自行止住,但频繁出血需引起重视。
3、牙龈外形变化:正常牙龈边缘菲薄且紧贴牙面,发炎后,牙龈组织会肿胀,边缘变厚,不再紧贴牙面,牙龈乳头也可能变得圆钝肥大,严重时甚至会覆盖部分牙面,影响美观和口腔清洁。
4、牙龈质地改变:健康牙龈质地坚韧,富有弹性。当牙龈发炎时,由于结缔组织水肿和炎症细胞浸润,牙龈质地变软,缺乏弹性,轻触就可能导致疼痛,患者在进食时会有所顾忌。
5、牙龈疼痛:炎症刺激神经末梢,会引发牙龈疼痛。疼痛程度因人而异,轻者可能仅在受到刺激时感到轻微不适,重者则可能出现持续性疼痛,影响日常生活,如进食、说话等。
此外,牙龈发炎时,口腔内细菌滋生,分解食物残渣和坏死组织,产生难闻的气味,导致口臭。口臭不仅会影响个人社交,还可能是牙龈炎症加重的信号。
牙龈发炎患者日常注意事项
- 保持口腔清洁:早晚使用软毛牙刷,按照巴氏刷牙法刷牙,每次刷牙时间不少于3分钟,确保牙齿各个面及牙龈边缘都能得到有效清洁。饭后用清水或漱口水漱口,清除口腔内的食物残渣,减少细菌滋生。
- 正确使用牙线:每天使用牙线清洁牙缝,牙线可以深入牙缝,清除牙刷难以触及的食物残渣和牙菌斑,预防牙龈发炎。使用时动作要轻柔,避免损伤牙龈。
- 避免刺激牙龈:避免食用过烫、过硬、辛辣等刺激性食物,如热汤、坚果、辣椒等,防止刺激发炎的牙龈,加重疼痛和炎症。同时,不要用牙签等尖锐物品剔牙,以免损伤牙龈。
- 定期口腔检查:建议每半年到一年进行一次口腔检查,及时发现牙龈问题及其他口腔隐患。对于已经患有牙龈发炎的患者,应按照医生的建议定期复诊,以便医生了解病情变化,调整治疗方案。

