髓样脂肪瘤是一种良性肿瘤,主要发生于肾上腺髓质,极少数情况下也可能发生在肾上腺之外的组织。这种肿瘤在组织学上由成熟的脂肪组织和正常的造血组织所构成,因此得名髓样脂肪瘤,通常能治愈。

1、髓样脂肪瘤的特点
- 生长缓慢:髓样脂肪瘤的生长速度相对较慢,这有助于早期发现和治疗。
- 症状不明显:在早期,髓样脂肪瘤的症状往往并不明显,这可能导致病情被忽视或延误,随着肿瘤的增长,患者可能会出现腹痛、腹部不适、腰酸背痛、肿块等症状。
- 可压迫邻近组织:当肿瘤较大时,可能会压迫邻近的组织器官,如肾血管等,从而引起非特异性临床症状,如血尿、高血压等。
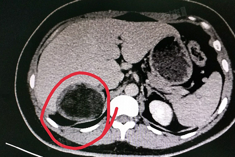
2、髓样脂肪瘤的诊断
- 髓样脂肪瘤的诊断主要依靠影像学检查,其中B超是最常用的筛查方法。CT和MRI等影像学检查也可以提供更为详细的信息,有助于明确肿瘤的大小、位置和与周围组织的关系。
3、髓样脂肪瘤的治疗
- 手术切除:对于髓样脂肪瘤,手术切除是主要的治疗方法。通过手术切除,一般可以治愈该病。手术切除后,患者需要定期复查,以监测肿瘤是否复发。
- 观察随访:对于非常小的髓样脂肪瘤,可以选择观察随访,定期进行影像学检查以监测肿瘤的变化。
4、髓样脂肪瘤的治愈情况
- 髓样脂肪瘤是一种良性肿瘤,通过手术切除一般是可以治愈的,但部分病人在手术切除后可能会出现脂肪瘤的复发,此时需要再次进行手术切除,髓样脂肪瘤的治愈率相对较高,但患者仍需注意定期复查和随访。
在治疗和康复过程中,患者应注意保持健康的生活方式,包括均衡饮食、适量运动等,同时保持良好的心态和积极配合医生的治疗也是非常重要的。

