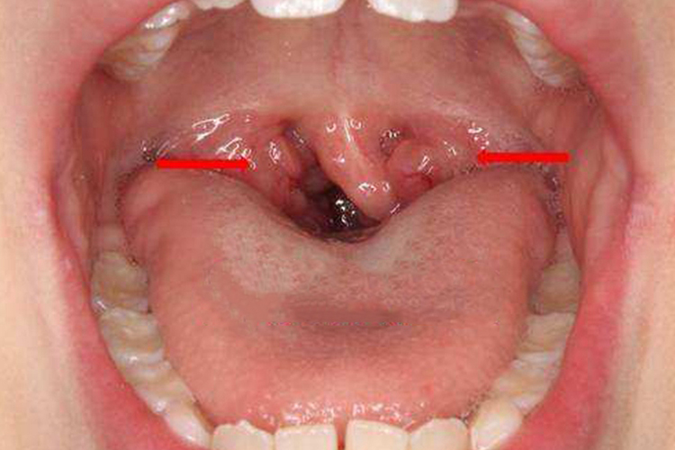
扁桃体二度肥大是指扁桃体超出舌腭弓但未达到中线,可能导致呼吸困难、吞咽障碍等问题,治疗方法的选择取决于病因、症状的严重程度以及患者的年龄和健康状况等因素,需要使用非手术治疗、免疫疗法等。

1、非手术治疗:对于轻度症状或反复发作的患者,非手术治疗是首选方案,包括药物治疗和生活方式的调整,抗生素用于治疗急性感染,消炎药和止痛药可缓解症状。也需要保持室内空气湿润,避免吸入有害气体,均衡饮食以增强免疫力。
2、免疫疗法:接种疫苗预防常见的呼吸道疾病,如流感疫苗,通过提高机体免疫力减少扁桃体的炎症反应,减少感染频率,从而降低扁桃体肿大的风险,适用于儿童和成人频繁发作扁桃体炎的情况。
3、激光辅助扁桃体缩小术:采用激光技术去除扁桃体的一部分组织,减少体积,手术创伤小,恢复快,出血少,适用于不愿意接受传统手术的患者。
4、扁桃体切除术:对于经常性扁桃体炎、影响生活质量的患者而言,此为根治方法,通过手术完全摘除扁桃体,可以显著减少未来扁桃体炎的发生率,术后可能出现疼痛、出血等,需遵医嘱护理。
5、腺样体和扁桃体联合切除术:当扁桃体肥大合并腺样体肥大且影响呼吸时,同时切除扁桃体和腺样体,一次性解决两个部位的问题,改善睡眠质量和呼吸功能。
6、生物反馈训练:通过学习自我调节技巧来控制身体的生理反应,可用于管理与扁桃体肥大相关的慢性疼痛和紧张情绪,长期坚持有助于减轻症状,改善生活质量。
治疗期间需要进行全面的身体检查,确保手术安全性,对于儿童患者,家长应做好心理疏导,术后遵循医嘱用药,注意休息和饮食。

