脑梗是一种常见的神经系统疾病检查方法多样,具体选择哪种检查方法需要根据患者的具体情况和医生的建议来确定,通过综合评估患者的临床症状、体征和各项检查结果,可以更加准确地诊断脑梗死并制定相应的治疗方案。

1、体格检查:
- 对患者进行详细的神经系统查体,观察患者的意识状态、瞳孔大小、面部表情、肢体反应和语言能力等,以判断是否存在脑梗造成的神经损害及其原因。
2、超声检查:
- 包括经颅多普勒超声和颈动脉超声,可以检测颅内大动脉狭窄、闭塞的情况,评估脑血液循环状况。
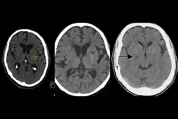
3、颅脑CT:
- 是脑梗死的首选影像学检查方法,能够早期判别脑梗死与脑出血,且检查时间较短,不受患者身上有人工关节、起搏器等限制条件影响。
- 但颅脑CT对于脑干位置显示可能不清晰,且对发病时间较短或较小的病灶可能无法很好显示。
4、颅脑MRI:
- 对脑梗死的诊断具有更高的敏感度,尤其是对于脑干部位的梗死,其优势明显高于颅脑CT。
- MRI可以更加精准地显示急性病变部位,且对于小脑和脑干等后颅窝病变显示很清楚。MRI在脑梗死并发脑出血的检出率中,脑出血检出部位、数量也明显高于CT。
5、血管成像:
- 包括CT血管成像和磁共振血管成像,可以了解患者的血管形态、各血管代偿及血管畸形情况,有助于明确脑梗死的病因和血管狭窄程度。
6、生化检查:
- 包括血糖、血脂、肝肾功能等,评估患者的整体健康状况,以及是否存在与脑梗死相关的危险因素。
在检查过程中患者应尽量保持头部静止,避免活动头部,有助于防止栓子脱落并移动至其他部位从而加重病情,患者还需要保持稳定的情绪,避免焦虑、紧张等不良情绪。

