口腔炎症是一类影响口腔黏膜的炎症性疾病,症状表现多样,具体可以归纳为黏膜红肿与疼痛、口腔溃疡、疱疹等多个方面,患者应及时就医并在医生指导下进行治疗。

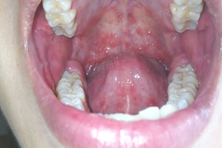
1、黏膜红肿与疼痛:口腔炎症初期,患者常会感到口腔黏膜红肿、充血,并伴有不同程度的疼痛感,这是由于细菌、病毒或真菌感染侵入口腔黏膜后,引发的炎症反应所致,红肿与疼痛可波及颊黏膜、舌、齿龈、上腭等多处口腔黏膜。
2、口腔溃疡:口腔溃疡是口腔炎症中常见的症状之一,表现为圆形或椭圆形的浅层黏膜损伤,表面覆盖有白色或黄色的假膜,周围有红晕。溃疡可单个或多个出现,给患者带来明显的疼痛感。口腔溃疡一般具有自限性,但易反复发作,影响患者的饮食和日常生活。
3、疱疹:在疱疹性口腔炎中,患者口腔黏膜上会出现簇集性小水疱,这些水疱容易破裂形成糜烂面,并伴有疼痛感。疱疹可发生于口腔的任何部位,但以舌、颊黏膜、唇等部位多见,疱疹性口腔炎多由单纯疱疹病毒引起,具有传染性。
4、牙龈出血:口腔炎症可能导致牙龈红肿、出血,尤其在刷牙或咀嚼食物时更为明显。
5、牙齿敏感:炎症可能使牙齿中的牙本质暴露,导致牙齿变得敏感,在受到冷、热、酸、甜等刺激后产生疼痛。
口腔炎症的诊断主要依据患者的临床症状和体征,结合必要的实验室检查进行综合判断,治疗原则以局部治疗为主,必要时辅以全身性治疗。对于复发性口腔炎症患者,还需注意调整生活习惯、增强免疫力以减少复发。

