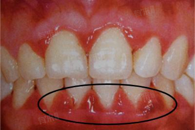
妊娠期龈炎是孕妇在怀孕期间常见的一种口腔疾病,其发生与多种因素密切相关,如激素水平变化、口腔卫生不佳、免疫力低下等,需要积极处理。

1. 激素水平变化:妊娠期间,女性体内激素水平发生明显变化,特别是雌激素和孕激素的升高,会导致牙龈组织对局部刺激的反应性增强,从而引发或加重牙龈炎症。孕妇应坚持早晚刷牙,使用软毛牙刷和含氟牙膏,定期使用牙线或牙间隙刷清洁牙缝,去除牙菌斑和食物残渣。
2、口腔卫生不佳:孕期由于身体不适和行动不便,部分孕妇可能忽视了口腔卫生,导致牙菌斑和牙石在牙龈边缘堆积,进而引发牙龈炎症。孕妇应养成良好的口腔卫生习惯,每次饭后漱口,早晚刷牙,并使用牙线或牙间隙刷清洁牙缝。此
3、免疫力低下:妊娠期间,孕妇的免疫力可能有所下降,使得口腔内的细菌更容易繁殖并引发感染,包括牙龈炎症。保持充足的睡眠和合理的饮食,适当进行户外活动以增强免疫力,注意保持口腔卫生,减少细菌滋生的机会。
4、牙菌斑和牙石刺激:牙菌斑和牙石是引起牙龈炎症的主要局部刺激因素,不仅为细菌提供了繁殖的场所,还会直接刺激牙龈组织,引发炎症反应。定期进行口腔洁治,彻底清除牙菌斑和牙石,对于已经形成的牙龈炎症,可采用局部冲洗和上药的方法进行治疗。
5、妊娠期龈瘤:部分孕妇在妊娠期间可能会出现牙龈瘤样增生物,称为妊娠期龈瘤,通常是由于局部刺激因素,如牙菌斑、牙石、不良修复体等,与激素水平变化共同作用的结果。一般建议在分娩后进行手术切除,在孕期,可通过加强口腔卫生和局部冲洗等方法控制其生长和症状。
孕妇应重视口腔卫生,定期进行口腔检查和洁治,减少牙龈炎症的发生和加重,对于已经出现的牙龈炎症,应及时就医进行诊断和治疗。

