舌头下出现小肉芽,成因涵盖生理变异与病理因素。正常生理结构的增生、口腔局部刺激,或是病毒感染、肿瘤病变等,都可能导致这一现象。不同诱因对应不同处理方式,只有准确判断病因,才能进行有效治疗。

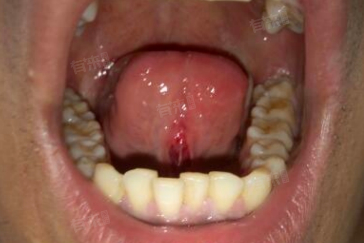
1、正常生理结构:舌下肉阜是人体正常的生理结构,位于舌系带两侧,呈小肉芽状,负责唾液腺导管开口。若因个体差异或观察角度问题,会被误认为异常增生。此类情况无需特殊处理,日常保持口腔卫生,持续观察其形态、大小有无变化即可。
2、机械性刺激:残根残冠、不良修复体长期摩擦舌下黏膜,或进食时被尖锐食物划伤,可引起黏膜组织增生形成小肉芽。去除刺激源,如修复破损牙齿、调整假牙,保持口腔清洁,轻度增生的肉芽组织多可自行消退;若增生明显,可考虑手术切除。
3、口腔溃疡愈合:舌下发生过口腔溃疡,在愈合过程中,新生的肉芽组织填补缺损区域,表现为小肉芽状突起。这种情况通常伴随轻微疼痛,待溃疡完全愈合,肉芽组织会逐渐平整。期间可使用促进黏膜修复的药物,加速愈合进程。
4、病毒感染:感染人乳头瘤病毒,可能引发舌下尖锐湿疣,表现为单个或多个小肉芽,表面粗糙呈菜花样。确诊后需及时就医,遵医嘱进行物理治疗,如冷冻、激光去除疣体,并配合药物治疗,降低复发风险。
5、肿瘤性病变:舌下的小肉芽也可能是良性肿瘤如乳头状瘤,或恶性肿瘤的早期表现。良性肿瘤生长缓慢,边界清晰;恶性肿瘤则生长迅速,伴有溃疡、出血等症状。一旦怀疑肿瘤,需尽快就医,通过病理检查明确性质,根据诊断结果选择手术切除或其他相应治疗方案。
发现舌下小肉芽,不要自行抠除或使用不明药物处理,以免引发感染或刺激病变。若小肉芽持续增大、出现疼痛、出血等异常,或伴有发热、吞咽困难等症状,应立即就医诊断。治疗期间严格遵循医嘱,定期复诊观察恢复情况。
舌头下有个小肉芽需要做什么检查
- 口腔专科检查:口腔科医生会观察小肉芽的位置、大小、颜色及形态,触诊判断质地与活动度,排查是否为黏液腺囊肿、乳头状瘤或舌乳头状增生,初步评估病变性质。
- 病理活检检查:对持续存在或疑似恶变的小肉芽,需取部分组织进行病理切片检查,通过显微镜观察细胞形态,明确是否存在上皮异常增生或恶性病变,为诊断提供依据。
- 影像学辅助检查:若肉芽深及黏膜下或怀疑与唾液腺相关,可进行超声检查,判断是否存在囊性结构或血流信号,必要时通过CT或MRI明确病变范围及周围组织关系。

